
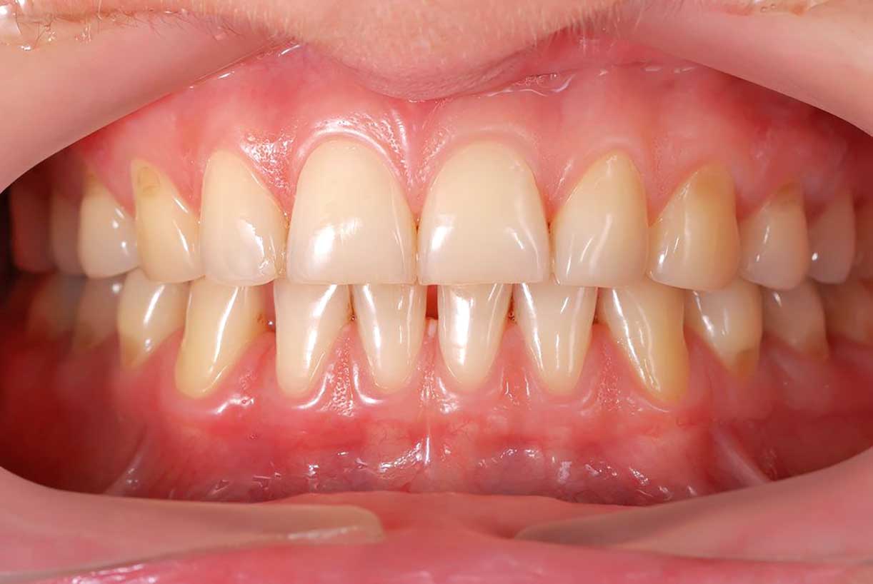
Diş eti çekilmesi, birçok yetişkinin karşılaştığı yaygın bir diş sağlığı problemidir. Peki, bu durum neden olur ve daha önemlisi, bu soruna ne iyi gelir? Diş etlerinin çekilmesi sadece diş kaybına ve estetik açıdan kötü bir görünüme yol açabilir. Bu sorunlardan muzdarip olmamak için diş eti sağlığını korumak ve var olan sorunları tedavi etmek için etkili yöntemleri bilmek, büyük önem taşır.
Diş eti çekilmesi, dişlerin köklerinin açığa çıkmasıyla karakterize bir durumdur ve birçok farklı faktöre bağlı olarak gelişebilir. Diş etlerindeki bu çekilme, genellikle yanlış diş bakım teknikleri, genetik yatkınlıklar veya periodontal hastalıklar gibi sebeplerle ortaya çıkar. Ayrıca sert diş fırçalama alışkanlığı veya yanlış diş fırçası kullanımı gibi alışkanlığa dayalı bazı faktörler de diş eti çekilmesi belirtilerini tetikleyebilir. Sigara kullanımı ve diğer tütün ürünleri de diş eti sağlığını olumsuz etkileyerek bu problemin oluşumuna zemin hazırlayabilir.
Diş eti çekilmesi problemiyle karşı karşıya kaldığınızda, bu durumun ilerlemesini durdurmak ve mevcut hasarı azaltmak için alınabilecek bir dizi önlem bulunur. Doğru ağız bakım rutinleri, düzenli diş hekimi ziyaretleri ve belirli tedavi yöntemleri, diş eti sağlığınızı destekleyebilir.
Günde iki sefer diş fırçalamak ve diş ipi kullanmak, plak birikiminin oluşma ihtimalini azaltarak diş etlerinizin sağlıklı kalmasına yardımcı olabilir. Ayrıca diş etlerinize zarar verebilecek sert fırçalama yerine yumuşak bir diş fırçası kullanmak ve doğru fırçalama tekniklerini uygulamak, diş eti çekilmesi riskini azaltabilir. Antiseptik veya florid içerikli ağız çalkalama suları da bakteri oluşumunu önleyerek diş eti sağlığını destekleyebilir.
Diş hekiminiz tarafından düzenli aralıklarla yapılan profesyonel temizlikler, plak ve tartar birikimlerini temizleyerek diş eti çekilmesi tedavisinde önemli bir rol oynar. Bu, diş eti çekilmesinin ilerlemesini önleyebilecek önlemler arasındadır. Profesyonel temizlik sırasında diş hekimi, özel aletler kullanarak diş taşlarını çıkarır ve diş yüzeylerini pürüzsüzleştirir, bu da bakterilerin tutunmasını zorlaştırarak diş eti hastalıklarının önlenmesine yardımcı olur. Bu tür temizlikler, diş eti iltihabını azaltmaya ve sağlıklı diş etlerinin korunmasına büyük katkı sağlayabilir.
Diş eti çekilmesi için özel üretilen diş macunları, diş eti sağlığını destekleyerek sorunun ilerlemesini yavaşlatmaya yardımcı olabilir. İçeriğinde iltihap giderici özellikler taşıyan maddeler bulunduran bu diş macunları, diş etlerinizin daha sağlıklı olmasına katkıda bulunabilir. Ayrıca bu ürünler, diş etlerindeki hassasiyeti azaltmaya ve onarım sürecini desteklemeye yardımcı olabilir. Diş eti için diş macununu doğru şekilde seçmek, diş sağlığını koruma konusunda atabileceğiniz önemli bir adımdır.
Diş eti çekilmesi ciddi boyutlardaysa ve diğer tedavi yöntemleri yeterli gelmiyorsa diş eti çekilmesi ameliyatı gerekebilir. Bu tür cerrahi işlemler, diş etlerinin yeniden konumlandırılmasını ve korunmasını sağlar. Ameliyat, diş eti grefti olarak bilinir ve bu işlemde, diş etlerinizin çekilmiş olduğu bölgeye diş eti dokusu eklenir. Bu eklenen doku, diş kökünü örterek koruma sağlar ve estetik görünümü iyileştirir. Ameliyat öncesinde ve sonrasında doktorunuzun önerdiği diş eti çekilmesi için ilaçları kullanarak iyileşme sürecini hızlandırabilirsiniz.
Diş eti çekilmesi ciddi bir sağlık problemi olabilir ve zamanında müdahale edilmezse diş kaybına kadar gidebilecek sonuçlar doğurabilir. Belirli aralıklarla diş hekimine kontrole gitmek, ağız durumunuzu değerlendirmenize yardımcı olur. Unutmayın, erken teşhisle ve doğru bakım yöntemleriyle diş eti çekilmesinin önüne geçmek mümkündür.
YAZIYI PAYLAŞ
YORUMUNUZ VAR MI?