Böbreğin kalıtsal kistik hastalıkları tanı ve tedavisi

Yazan Dr. Enes Başak
29 Ağustos 2013   |    5 Ocak 2020    |   Kategori: Medyada Sağlık Haberleri, Üye Yazıları Print

bobrek-kalp-tansiyonGenetik olmayan hastalıklar: 1-Gelişimsel; medüller sünger böbrek, kistik displazi. 2-Edinsel; böbreğin basit kistleri, böbreğin edinsel (akiz) kistleri.
Genetik hastalıklar: 1-Otozomal dominant; otozomal dominant polikistik böbrek hastalığı, von Hippel-Lindau hastalığı, tuberoz skleroz kompleksi, medüller kistik hastalık. 2-Otozomal resesif; otozomal resesif polikistik böbrek hastalığı, juvenil nefronofitizi.

Otozomal dominant polikistik böbrek hastalığı:
Polikistik böbrek hastalığı (PKD); her iki böbrekte, parankim yapısının gelişme bozukluğu sonucu, kortex ve medullada kistik değişikliklerle karekterize kalıtsal bir hastalıktır. En sık görülen kalıtsal böbrek hastalığıdır. Orak hücreli anemiden 10 kat daha fazla görülür. Kistik fibrozisden 15 kat daha fazla görülür. Huntington koresinden 20 kat daha fazla görülür. 1/400 – 1/1000 oranında görülür. Erkek ve kadınlarda benzer sıklıkta görülür. Penetransı %100’dür. Sistemik bir hastalıktır.

PKD1 geni: 16. kromozomun kısa kolunda yer alır. Kodladığı proteine polikistin 1 adı verilir. Olguların %85-90’ından sorumludur. PKD2 geni: 4. kromozomun uzun kolunda yer alır. Kodladığı proteine polikistin 2 adı verilir. Olguların %10-15’inden sorumludur. PKD3 geni.

Son dönem böbrek yetersizliği (SDBY) etyolojisi: Diabetes mellitus, kronik glomerulonefrit, hipertansiyon, ürolojik hastalıklar, kistik böbrek hastalıkları, kronik interstisyel nefrit.

Patogenez: Çok sayıda kistler vardır. Böbrekler normalin 10 katına kadar büyür. Kistler 1 mm ile 5 cm çapında olup iki katına farklı büyüklükte olabilir. Kist duvarı yassı epitelli döşeli, içinde sıvı vardır. Glomerüller, tubuler ve ekskretuar olarak üç tip kist vardır. Glomerüler olanı kapalıdır, ekskretuar ve tubuler olanlar toplayıcı sistemle ilişkilidir.

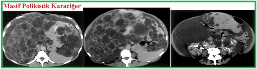
Renal bulgular: böbrek kistleri, nefrolitiazis, üriner sistem infeksiyonu, hipertansiyon, böbrek yetersizliği. Ekstrarenal bulgular: pankreas kistleri, kolon divertikülleri, herniler, dalak kistleri, intrakranial anevrizmalar, mitral kapak prolapsusu, karaciğer kistleri.

Nefrolitiazis: Erkeklerde % 8-36, bayanlarda % 5-12 oranında görülür.

Üriner enfeksiyon: Kadınlarda daha sıktır. Çoğunlukla asandan enfeksiyon şeklindedir. Sistit, piyelonefrit veya kist enfeksiyonu şeklinde olabilir. Kesin endikasyon olmadığı sürece sonda takılmamalıdır.

Kist enfeksiyonu: Muhtemel kaynak alt üriner sistem enfeksiyonudur, seyrek olarak hematojen yolla da enfeksiyon gelişebilir. Etken patojenler; E. coli, klebsiella, pseudomonas ve proteus türleridir. Kistin toplayıcı kanallarla iştiraki yoksa idrar sedimenti normal olabilir.

Hematüri: Kist içine kanama, taş, enfeksiyon, sık tekrarlayan hematüri atakları böbrek yetersizliğinin progresyonunu hızlandırır.

Ekstrarenal bulgular: Kistik bulgular: karaciğer (en sık karşılaşılan ekstrarenal bulgudur, karaciğer fonksiyon bozukluğuna yol açmaz), pankreas, dalak, seminal vezikül, araknoid. Nonkistik Bulgular: mitral kapak prolapsusu, anevrizmalar, kolon divertikülleri, herniler (inguinal, insizyonel, paraumbilikal).

bobrek-kalitsal-kistik-hastalik1

Kardiyak bulgular: Mitral kapak prolapsusu, mitral regurjitasyon, aort yetersizliği, triküspid yetersizliği, triküspid kapak prolapsusu, aort kökünde dilatasyon, biküspid aort kapağı, aot koarkatasyonu.

İntrakranial anevrizmalar: Hastaların %5-10’unda görülür. Ailevi olma özelliği vardır. Rüptür riski, anevrizmanın çapı ile orantılıdır. Rutin tarama gereksizdir. Aile hikayesi pozitif olanlar veya daha önceden anevrizma rüptürü olanlar taranmalıdır. Tarama, magnetik rezonans anjiyografi ile yapılmalıdır. Anevrizma yoksa, tarama 5 yılda bir tekrarlanmalıdır. Çapı <6 mm olan anevrizmaların 2 yılda bir kontrolü gereklidir. Çapı >6 mm olan anevrizmalara cerrahi tedavi gereklidir.

Pankreas kistleri % 10-15, dalak kistleri % 6-10 görülür.

Otozomal dominant PKD laboratuar bulguları: İdrar; proteinüri (< 1 gram/gün), hematüri (makroskopik/mikroskopik), piyüri görülebilir. Böbreklerin idrarı konsantre etme yeteneğinin bozulur. Azotlu madde retansiyonu görülür. Böbrek yetersizliğine rağmen anemi olmayabilir.

Tanı: Pozitif aile hikayesi önemlidir. Radyolojik incelemeler: 1-Ultrasonografi: aile hikayesi pozitif olan bir kişide ultrasonografik tanı kriterleri; <30 yaşta ünilateral veya bilateral 2 kist olması, 30-59 yaşta bilateral 2’şer kist olması, >60 yaşta bilateral 4’er kist olması. 2-Bilgisayarlı tomografi. 3-Magnetik rezonans görüntüleme. Gen bağlantı analizi.

bobrek-kalitsal-kistik-hastalik2

Hipertansiyon: Hipertansiyon, polikistik böbrek hastalığında sık karşılaşılan bir sorundur. Hipertansiyon, polikistik böbrek hastalığının progresyonunu hızlandırır. Hipertansiyon, polikistik böbrek hastalarının en sık ölüm nedeni olan kardiyovasküler sorunları kolaylaştırır. Renin-anjiyotensin-aldosteron sisteminin uyarılması, polikistik böbrek hastalığındaki hipertansiyondan sorumludur. Hipertansiyonun erken ve etkili bir şekilde tedavisi polikistik böbrek hastalarında morbidite ve mortaliteyi azaltır. Sol ventrikül hipertrofisi olan hipertansif polikistik böbrek hastalarında hedef kan basıncı <120/80 mm Hg olmalı ve ilk seçenek olarak RAAS’ni inhibe eden ilaçlar kullanılmalıdır.

Böbrek yetersizliği: Hastaların çoğunda uzun yıllar içerisinde GFR’da progresif bir azalma gözlenir Hastaların % 45’inde 60 yaştan önce böbrek yetersizliği gelişir. Bayanlarda son dönem böbrek yetersizliği gelişimi erkeklere oranla daha yavaştır. Böbrek yetersizliği gelişiminde risk faktörleri: hematüri ataklarının sıklığı, üriner enfeksiyon sıklığı, proteinürinin >1gr olması, gebelik sayısının >3-4 olması, siyah ırktan olma, erkek cinsiyet, PKD1 genotipi, 30 yaşından önce tanı konulması, sistemik hipertansiyonun 35 yaşından önce ortaya çıkması, böbrek boyutlarının büyüklüğü, hiperlipidemi, düşük HDL olması.

SDBY’ne gidişini yavaşlatacak yeni tedaviler: Statin tedavisi, vazopressin V2 reseptör antagonisti, soya proteini, batimastat (metalloproteinaz inhibitörü), taksol, pioglitazon, epidermal büyüme faktörü reseptör blokajı, sodyum sitrat.

bobrek-kalitsal-kistik-hastalik3

Medüller kistik hastalık: Poliüri, konsantrasyon bozukluğu, tuz kaybı, anemi ve ilerleyici azotemi ile karakterizedir. Adult ve juvenil (Familyal juvenil nefronofitizi) tipleridir. Patoloji: böbrekler küçük, yüzeyi granütedir. İrili ufaklı kortikomeduller kistlerdir. Glomerullerde, kapiller bazal membranda skleroz ve pantubuler hücre infiltrasyonu ile tubuler atrofi vardır. Klinik: 10-12 yaşlarında (Juvenil) ortaya çıkar. 25-27 yaşlarında (adult) ortaya çıkar. Poliüri, polidipsi, renal tuz kaybı, anemi, azotemi, gelişme geriliği ile başlar. İdrar konsantrasyon bozukluğu ADH’ya cevap vermez. Hipertansiyon mutad değildir. Azotemiye rağmen proteinüri olmaz.—-Heredite; otozomal resesiv (juvenil form), otozomal dominant (adullt form). Tanı: tomografi ve ultrasonda böbrekler küçük fakat kistler vardır. Akkiz kistik hastalıklar ayırt edilmelidir.

Medüller sünger böbrek: Böbrek papillalarındaki toplayıcı kanal kanalların kistik genişlemesi ile karakterizedir. Herediter değildir. Sıklıkla taşlar oluşur. GFR azalması, azotemi olmaz. %50’sinde kolik renal %35’inde üriner enfeksiyon, %30’unda hematüri vardır. DÜS’te papillada radial kalsifikasyon görünümü vardır. IVP’de kistler opak madde ile dolar. Proksimal tubulüsler sağlam, distal-kollekter tüplerde bozukluk olur. Sonuçta renal asidoz, hiperkalemi, hiperkalsemi oluşur.

Soliter renal kistler: KBY ve HD hastalarında sıktır. 5 yıldan uzun süren hemodiyaliz hastalarında % 50 görülür. Kistler genellikle kortikal ve küçüktür. Neoplazm gelişme riski vardır. 3 cm üzerinde olması tm? Gelişimi riskini artırır. Gerekirse total nefrektomi yapılır.

bobrek-tasiBasit kistler: > 40 yaş sağlıklılarda en sık kistik hastalıktır. 50 yaşın üstündeki popülasyonun %50’sinde vardır. Genellikle kortikal yerleşimli ve insidental olarak bulunur. USG’de basit kist: tek veya multipl olabilir, düzgün ve keskin sınırlı homojendir. Anekoik ve posteriorda akustik güçlenmesi olan lezyon şeklindedir.——Eğer solit komponenti, multipl septası, duvarda irregülerite ve kalsifikasyon varsa BT ile ileri bir basamak araştırmayı gerektirir. BT’de basit kist: düzgün ve keskin sınırlı duvar yapısı vardır. Uniform 0-20 HÜ dansitededir. Kontrast madde ile boyanmaz. Kontrast tutan lezyon basit kist değildir. Ya tümör (benign veya malign) ya da absedir. Kalsifiye lezyonlar basit kist değildir. Özellikle 1 mm üzerindeki septalar solit eleman içerir ve ileri araştırma gerektirir.

Böbreğin kalıtsal kistik hastalıklarında tanı yöntemleri:
Görüntüleme yöntemleri: Direkt grafi, intravenöz ürografi, ultrasonografi, bilgisayarlı tomografi, manyetik rezonans, anjiografi, nükleer yöntemler, retrograt piyelografi, intravenöz piyelografi, ekskretuvar ürografi.

Ultrasonografi tanı kriterleri: Riskli hastalarda; <30 yaşta her böbrekte bir kist olması, 30-59 yaşta her böbrekte iki kist olması, >60 yaşta her böbrekte dört kist olması.

Progresyon takibi: ultrasonografi ile; adolesan grupta beş yılda bir, 40 yaşından sonra üç yılda bir, 50 yaşından sonra iki yılda bir yapılır. Bilgisayarlı tomografi, ultrasonografi, manyetik rezonans takipte kullanılabilir.

bobrek-kalitsal-kistik-hastalik4

Enes Başak


YORUMUNUZ VAR MI?

guest

0 Yorum
Inline Feedbacks
Tüm yorumları gör
Araç çubuğuna atla