Nöronavigasyon ile beyin cerrahisinde minimal sapma

3 Ekim 2011   |    30 Mart 2013    |   Kategori: Onkoloji Print

Beyin tümörlerinde ‘Nöronavigasyon’ ile sağlıklı dokular korunuyor

İnvaziv beyin cerrahisinde yeni kullanılmaya başlanan Nöronavigasyon yöntemi tümörlere daha etkili müdahale imkanı sunuyor. Yöntem beyin cerrahisinde hedeflenen lezyona büyük doğruluk derecesiyle yaklaşım sağlarken sağlıklı dokuların korunmasını sağlıyor. Bilgisayar teknolojisinin üst düzey tasarımı olan Nöronavigasyon ile müdahale edilmek istenen lezyona büyük doğruluk derecesiyle ulaşılabiliyor.

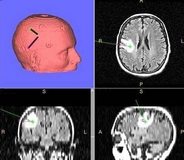
Nöronavigasyon yöntemiyle beyin içerisinde ulaşılmak istenen hedefe X, Y, Z koordinatları hesaplanarak minimal bir sapmayla ulaşılabildiğini söyleyen Erciyes Üniversitesi Tıp Fakültesi Nöroşirürji Anabilim Dalı Öğretim Üyesi Yrd. Doç. Dr. Bülent Tucer, gelişen teknolojiyle birlikte kullanıma sunulan yeni sistemin ölüm oranlarının azaldığını belirtti.

Beyinin kendisinden kaynaklanan tümörlerin dışında vücudun farklı bölgelerinden çıkan tümörlerin de beyne yayılabildiğini dile getiren Doç. Dr. Tucer, “Beyinde tümörler dışında doğuştan var olan anormal dokular da görülebiliyor. Bunlar epilepsi gibi ciddi sorunlara yol açabiliyorlar. Ayrıca damarsal patolojiler içerisinde de damarsal yumaklar, düşük akınlı toplar ve damar yapıları bulunabiliyor. Bu yapılar değişik nedenlerden kaynaklanabilmektedir ve sara hastalığına yol açabilmektedir” dedi.

İnvaziv yöntemlerle en etkili müdahale yöntemi
Beyin oluşan lezyonların yarattıkları riskler nedeniyle invaziv yöntemlerle çıkarılmaları gerektiğini dile getiren Doç. Dr. Tucer, şu bilgileri verdi: “Cerrahi işlemler beynin özelliklerinden dolayı ciddi riskler taşımaktadır. Ancak cerrahi işlemler bu hastalıkların tedavisinde en etkin yöntemler arasında yer alıyor. Öte yandan cerrahi müdahale sonucu ortaya çıkabilecek risklerden korunmak için teknolojik gelişimlerden sonuna kadar yararlanılması gerekiyor. Bu alanda kullanılmakta olan ileri teknoloji hem tanı konulmasını kolaylaştırıyor hem de tedavi aşamasında büyük kolaylıklar sağlıyor.”

Nöronavigasyon ile hedefe minimal sapma ile ulaşılıyor
Bilgisayar teknolojisinin yeni tasarımı olan Nöronavigasyon sistemiyle beyin cerrahisinde önemli bir adım atıldığını söyleyen Doç. Dr. Tucer,  “Nöronavigasyon, hedeflenen lezyona büyük doğruluk derecesiyle yaklaşım sağlıyor ve operasyon sırasında sağlıklı dokuda oluşabilecek zararı en aza düşürüyor. Sistemin, cerrahi işlemlerden kaynaklanan riskleri azaltmak ve minimize etmek amacıyla kullanılıyor. Hem cerrah hem de hasta açısından cerrahinin daha güvenli yapılabilmesine önemli bir katkı sunuyor. Günümüzde nöronavigasyonla birlikte kimi testler ve çeşitli uygulamalar sayesinde bu alanda ölüm ve sakatlık oranlarında önemli düşüşler sağlandı” diye konuştu.

Sistemin hazırlanması 15 dakika sürüyor
Nöronavigasyonun yönteminin çalışma sistemi hakkında bilgi veren Doç. Dr. Tucer, sözlerini şöyle noktaladı: “Operasyon öncesinde hastanın BT veya MR çekimleri yapılıyor. Bir veya daha fazla görüntüleme yöntemi ihtiyaca göre aynı anda kullanılabiliyor. Çekilen bu görüntüler, nöronavigasyonun bilgisayar ünitesine transfer ediliyor. Navigasyon planlama bilgisayarında görüntüler işlendikten sonra ameliyathanedeki üniteye aktarılıyor. Bu görüntüler, sisteme 3 farklı yöntemle tanımlanabiliyor. Yüzeysel belirleyicilerle, anatomik landmarkerlarla veya Z-touch dediğimiz cihazla yüz taraması uygulanarak yapılıyor. Cilt insizyonu ve lezyona uygun merkezli kraniyotomi planlanıyor, nöronavigasyona cerrahi mikroskop ve ultrasound da tanımlanarak cerrahiye başlanıyor. Nöronavigasyon hazırlığı ve planlanması ortalama 15 dakika sürüyor.”

YORUMUNUZ VAR MI?

guest

0 Yorum
Inline Feedbacks
Tüm yorumları gör
Araç çubuğuna atla