Bilim adamları laboratuvarda timus organı geliştirmeyi başardı

26 Ağustos 2014  |   Kategori: Medyada Sağlık Haberleri Print

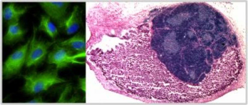
timus organıBilim Adamları Laboratuvarda Fareler Üzerinde Timus Organı Geliştirmeyi Başardı. Yeni bir bilimsel araştırmayla laboratuvar yapımı organlara bir adım daha yaklaşıldı. Bilim insanları ilk kez laboratuvarda üretilmiş hücreleri yaşayan bir hayvana ekleyerek organ üretmeyi başardı.

Laboratuvarda üretilen timus organı T hücreleri adı verilen bağışıklık sistemi hücrelerini üretiyor ve kalbin yanında bulunuyor. Bu keşif sayesinde bağışıklık sistemi zayıflayan insanlar için yeni tedavi yöntemleri geliştirilebilir.

Edinburgh Üniversitesi Rejeneratif Tıp Merkezi’nden bir ekip fare embriyosundan fibroblastları çıkarttı. Sonra fibroblastları yeniden programlama yöntemiyle farklı bir hücre tipi olan timus hücrelerine çevirdi. Yeniden programlanan hücreler timus hücrelerinin şeklini alarak, onlar gibi gözükmeye başladı. Ayrıca bu hücreler laboratuvardaki T hücrelerinin gelişimini destekleyerek timus hücrelerine spesifik fonksiyonları sergileyebiliyor.

Araştırmacılar yeniden programlanan hücreleri diğer timus hücre tipleriyle karıştırarak, farelere ekti. Hücrelerden yeni bir organ oluştu. Yeni oluşan organ aynı yetişkin timusuyla aynı kompleksliğe,yapıya ve fonksiyona sahip. Bu organ bilim adamları tarafından vücudun dışından, tümüyle yeniden programlamayla oluşturulan ilk organ. Doktorlar timus bozukluklarının sonradan eklenen bağışıklık hücreleriyle ya da doğumdan sonra timus organı eklenmesiyle tedavi edilebileceğini daha öncesinde göstermişti. Bu işlem bağışçıların yetersizliği ve doku uyumu problemleri nedeniyle oldukça kısıtlı. Fakat laboratuarda üretilen timus transplant tedavisi  zayıf bağışıklık sistemine sahip insanlar için bir umut doğuyor.

Bu teknikle hastayla eşleşen T hücreleri oluşturularak hücre terapilerinde kullanılabilir. Ayrıca bu sayede kemik iliği hastalarında tranplantasyon sonrası bağışıklık sistemi iyileşme hızı da arttırılabilir. Bu sayede doğuştan timusu gelişmeyen bebekler ya da yaşla timusu zayıflayan insanlar tedavi edilebilir. Araştırma yapay timus üretimine ışık tutacak gibi gözükse de üzerinde daha çok çalışılması gerekiyor.

Kaynak;
Journal Reference: Nicholas Bredenkamp, Svetlana Ulyanchenko, Kathy Emma O’Neill, Nancy Ruth Manley, Harsh Jayesh Vaidya, Catherine Clare Blackburn. An organized and functional thymus generated from FOXN1-reprogrammed fibroblasts. Nature Cell Biology, 2014; DOI: 10.1038/ncb3023

Yazının orjinali için tıklayınız

YORUMUNUZ VAR MI?

guest

0 Yorum
Inline Feedbacks
Tüm yorumları gör
Araç çubuğuna atla