Birleşen MR ve PET teknolojisi, bedeni görünür kıldı

Kategori: Sektör Print

Yeni Siemens teknolojisi insan bedenindeki sanatı sergiliyor

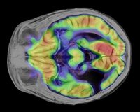
İSTANBUL – Manyetik rezonans (MR) ve pozitron emisyonu tomografisi (PET) teknolojilerini buluşturan bu yeni cihaz, ilk kez doktorlara iç organların yerlerini, nasıl çalıştıklarını ve metabolizma yapılarını aynı anda tek  görüntü içinde görme imkanı veriyor.


Bu cihaz, sadece bir tümörün vücudun hangi bölümünde olduğunu değil, aynı zamanda tümörün türü ve aktivitesini göstererek doktorların daha doğru teşhis koymalarına yardımcı oluyor. Ek olarak, cihaz sayesinde verilen ilaçlara karşı hasta vücudunun nasıl tepki verdiği de görüntülenebiliyor.

 

Siemens Sağlık Sektörü tarafından geliştirilmiş olan Siemens Biograph mMR adlı bu cihaz, Münih’teki Klinikum Rechts der Isar Üniversite Hastanesi’nde yoğun olarak kullanılıyor. Biograph mMR, normalde birbirine alternatif olan iki teknolojinin bileşiminden oluşuyor: Manyetik rezonans görüntüleme, güçlü bir manyetik alan ve elektromanyetik dalgalardan faydalanırken pozitron emisyonu tomografisinde, çekimden önce hastaya enjekte edilen düşük dozlu radyoaktif radyofarmasötik ilaçlar kullanılıyor.

 

Radyofarmasötik ilaçlar, vücut dokularıyla reaksiyona giriyor ve ortaya çıkan radyasyon ölçülüp nihai olarak bir görüntü şeklinde aktarılır. Bu görüntüleme tekniklerinde uygulanan fizik kurallarına göre bu iki teknolojinin birbiriyle çelişen görüntüler üretmesi gerekir ki bu da aynı anda görüntülemeyi imkânsız kılar. Ancak Siemens Biograph mMR, bu engelin üstesinden gelecek şekilde tasarlanmıştır. Söz konusu iki teknolojinin tek sistem içinde birleştirilmesinin, çok sayıda kanser türü ve demans hastalığı dâhil olmak üzere birçok hastalığın teşhisini değiştirmesi bekleniyor.

 

Klinikum rechts der Isar Hastanesi, hastalıkları erken aşamada teşhis etmek, hastalıkların seyrini takip etmek ve bu bilgileri, ilgili hastaya uygun bir tedavi planı geliştirmek amacıyla kullanmak için cihazı klinik düzeyde test etmeye başladı.

 

Radyologlar, sistemi kullanarak hastaların maruz kaldığı radyasyonu azaltmak amacıyla bu sistemi uzun vadede kanser takibi için kullanmayı planlıyor. Ayrıca iki sistemin bir arada kullanılması, sistemlerin ayrı ayrı kullanıldıklarında ihtiyaç duyulan süreyi yarıya indiriyor. Aynı durum, mekânsal açıdan da geçerli. Önceden iki büyük sistem için gereken alan yerine tek cihazlık yer yeterli oluyor. Bu durum da, hastanelerin hastaları için daha fazla yer ayırmasını mümkün kılıyor.

 

YORUMUNUZ VAR MI?

guest

0 Yorum
Inline Feedbacks
Tüm yorumları gör
Araç çubuğuna atla