
Yeni yayımlanan bir araştırmaya göre hastanede tedavi gören Covid-19 hastaları, eve gönderildikten üç ay sonra bile akciğer hasarı ve kalp sorunları yaşamaya devam ediyor. Uzmanlar çoğu hastanın durumunun 6 hafta içinde düzeldiğini söylese de yeni çalışmada, bazı kişilerin öksürük ve nefes darlığıyla daha uzun süre mücadele ettiği gösteriyor. Avusturya’nın Tirol bölgesindeki farklı kurumlardan araştırmacılar, hastanede tedavi gören koronavirüs hastalarını taburcu olduktan 6, 12 ve 24 hafta sonra tekrar değerlendirdi. Araştırmanın, Nisan ve Haziran arasında çalışmaya katılan ve Covid-19’u şiddetli şekilde geçirmiş 86 kişinin verilerine dayandığı bildirildi.
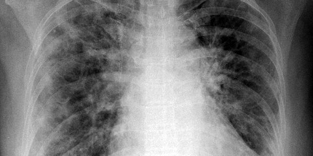
İlk değerlendirmelerin sonucunda hastaların %65,9’unda en az bir kalıcı semptom görüldü. Hastalar ağırlıklı olarak nefes darlığı ve öksürükten muzdaripti ve bilgisayarlı tomografi (BT) taramalarında akciğer hasarı tespit edildi. Çalışmanın yazarlarından Dr. Sabina Sahanic, bulgularını şöyle özetiyor: BT sonuçlarına göre çalışmaya katılanların %88’i ilk ziyarette hala patolojik bulgular gösteriyordu. İkinci ziyarette ise bu oran, %56’ya düşmüştü.
Imperial College: Koronavirüs bulaşan çocuklarda Tip 1 diyabet gelişebiliyor
Araştırmaya dahil edilen 86 hastanın ortalama yaşı 61 ve bunların %65’i erkekti. Yaklaşık yarısı sigara içiyordu. Hastanede yatan COVID-19 hastalarının %65’i aşırı kilolu veya obezdi. Hastaların 18’i (%21) yoğun bakım ünitesinde kaldı; 16’sına (%19) invazif mekanik ventilasyon uygulandı ve hastanede ortalama kalış süresi 13 gündü.
Toplam 56 hasta (%65), altı haftalık ziyaretleri sırasında kalıcı semptomlar gösterdi; nefes darlığı (dispne) en yaygın semptomdu (40 hasta,%47), ardından öksürük (13 hasta,%15). 12 haftalık ziyarette nefes darlığı sonuçları daha iyidi ancak hala 31 hastada (%39) mevcuttu; 13 hasta (%15) hala öksürüyordu.

Hastalara uygulanan akciğer fonksiyonu testleri arasında FEV1, FVC ve DLCO vardı; ölçümler 6. ve 12. haftalardaki ziyaretler arasında yapıldı. Altı haftada, 20 hasta (%23) FEV1 değeri normalin %80’inden daha azdı, 12 haftada 18 hastaya (%21) yükseldi, 24 hasta (%28) FVC değeri normalin %80’inden daha azdı. 12 haftada 16 hasta (%9) ve 28 hasta (%33) DLCO değeri normalin %80’inden daha azdı. Sadece 19 hasta (%22) 12 haftada iyileşme gösterdi.
Bilgisayarlı Tomografi taramalarında ‘buzlu cam’ olarak bilinen beyaz lekeler olarak ortaya çıkan koronavirüsün akciğerlerde neden olduğu iltihaplanma ve sıvı hasarı altı haftada 74 hastada (%88) ve 12 haftada 48 hastada (%56) hala mevcuttu. Altı haftalık ziyarette, ekokardiyogramlar 48 hastada (%58) kalbin gevşeme ve genişleme noktasında (diyastol) sol ventrikül disfonksiyonuna sahip olduğunu gösterdi. Kalp hasarı, kan pıhtıları ve iltihabın biyolojik göstergelerinin tümü önemli ölçüde yüksekti.
Antikorlar kalıcı olamıyor, grip gibi sürekli koronavirüse yakalanabilirsiniz
Araştırma ile ilgili bir açıklama yapan Dr. Sahanic, şu bilgileri verdi: “Kötü haber şu ki insanlar taburcu olduktan haftalar sonra bile Covid-19 kaynaklı akciğer kapasitesindeki düşüşle mücadele ediyor. İyi haberse bu düşüş zamanla iyileşme eğilimi gösteriyor.”
Çalışmayı değerlendiren Avrupa Solunum Derneği Başkanı Prof. Dr. Thierry Troosterers, şu saptamalarda bulunuyor: “COVID-19 salgınının başlangıcından bu yana, birçok hastanın koronavirüsten uzun süreli sağlık sorunları yaşadığına dair kanıtlar giderek artıyor. Dr Sahanic’in sunumu önemli, çünkü ilk, kapsamlı ileriye dönük takiplerden biri- hastalarda COVID-19’un akciğerler ve kalp üzerindeki ciddi, uzun vadeli etkisini gösterir.
Koronavirüs (COVID19) enfeksiyonu tanısı alan hastalara müdahale ve tedavi yöntemleri
Bu çalışmadaki hastaların yarısından fazlasının hastaneden taburcu olduktan 12 hafta sonra bile akciğer ve kalplerinde hala hasar olması üzücü. Neredeyse% 40’ının hala nefes darlığı gibi semptomlardan muzdarip. Ancak iyi haber şu ki, hastalar uzun süreli takip ve rehabilitasyon sürecinin yardımıyla iyileşmeye devam ediyor.”
Kaynaklar ve Referanslar:
1- COVID-19 patients suffer long-term lung and heart damage but it can improve with timeYAZIYI PAYLAŞ
YORUMUNUZ VAR MI?