İlk işinizi bulmak için hangi yolları izlemeniz gerekir?
Okuldan yeni mezun gençlerin iş bulması genelde zordur. Bu zorluk bilindiği için mezuniyet öncesinde iş bulma stresi başlar. Erkeklerin bir...
Okuldan yeni mezun gençlerin iş bulması genelde zordur. Bu zorluk bilindiği için mezuniyet öncesinde iş bulma stresi başlar. Erkeklerin bir...
Yumurtalık kanseri, yumurtalık veya fallop tüplerde kanser hücrelerinin kontrolsüz bir şekilde büyümesi ile meydana gelen bir tür kanserdir.
Günümüzde ev sahibi olma hayali birçok insanın hedefleri arasında yer alıyor. Ancak, geleneksel yöntemlerle ev sahibi olmak genellikle yüksek faiz...
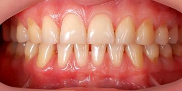
Günümüzde uzmanlar diş tedavilerini sürekli olarak geliştirilerek hastalara daha konforlu ve etkili uygulamalar sunmaktadır. Böylece hem diş sağlığı için etkin çözümler sağlanmakta hem de tedavi süreçlerinde hastaların...
DevamıBugünün dijital çağında, tek bir tweet'in saniyeler içinde milyonlara ulaşabileceği bir ortamda, sağlık profesyonelleri, izleyicileriyle benzersiz bir şekilde bağlantı kurma fırsatına sahiptir. T
DevamıGünümüzde estetik ameliyatlar giderek yaygın hale geldi. Estetik ameliyatlara kimileri güzelleşmek için giderken, bazı kişiler için de bunun temel nedeni sağlık.
DevamıOrtopedik yataklar, dalga benzerinde olan dışbükey parçalardan oluşur. Bu yüzden doğru yatak seçimi önemli bir detaydır. Uyku sırasında bedenin, verimli bir uyku tatması gerekir. Uyku söz konusu...
DevamıEvde sağlık hizmeti alırken nelere dikkat etmeniz gerektiğiyle ilgili detaylı bilgileri yazımızda bulabilirsiniz.
DevamıKalp krizi, koroner arter damarların tıkanması ya da daralması nedeniyle kalbe giden kan akışının durması ile ortaya çıkan durumdur. Kalp, böyle bir tabloda yeterli oranda oksijen alamaz.
DevamıÇamaşır makinesi alırken küçük ama önemli detaylara dikkat ederek ihtiyaçlar için doğru olan modelleri belirleyebilirsiniz. Çamaşır makinesi satın alma rehberi
DevamıÇocukların göz sağlığı, genel sağlıklarının önemli bir parçasıdır. Erken yaşlarda teşhis ve tedavi edilmeyen göz hastalıkları, çocukların gelişiminde ciddi problemlere yol açabilir.
DevamıEvlerimizin ve işyerlerimizin eğlence merkezi olan televizyonlar, günümüzde birçok yenilikçi özellikle donatılmış durumda.
DevamıMeta Description: Çeşitli nedenlerle meydana gelebilen diş eti çekilmesi, ciddi sonuçlar doğurabilen bir sağlık sorunudur. Bu sorunu önlemek için yazımıza göz atın.
Devamı