Mezotelyoma tanı ve tedavi yöntemleri

Yazan Dr. Enes Başak
3 Ocak 2014   |    5 Ocak 2020    |   Kategori: Üye Yazıları Print

Mezotelyoma belirtileri medikala akademiPlevranın benign lokalize fibröz tümörleri: Çoğu kez visseral plevradan kaynaklanırlar. Her zaman soliter olup yuvarlak veya ovaldir. Dış yüzleri düzgündür. Geniş hacimlere ulaşabilirler. Her iki cinste eşit. 50-80 yaş grubunda sık. Hastaların yarısından fazlası asemptomatiktir. Öksürük, göğüs ağrısı ve nefes darlığı vardır klinikte. Hipertrofik pulmoner osteoartropati (%20), hipoglisemi (%3-4) ve nadiren de galaktore görülür. Radyoloji; kitle görünümü, akciğerin periferinde veya interlobe fissüre yakındır. Tanı; transtorasik iğne biopsisi ile alınan dokunun patolojik incelemesi ile konabilir. Tedavi; tümörün cerrahi rezeksiyonu, segment rezeksiyonu veya lobektomi yapılabilir, uzun dönem takip gerekir.

Plevranın malign lokalize fibröz tümörleri: Hızlı büyürler. Paryetal plevradan akciğer parankimine veya interlober bölgeye doğru yerleşirler. Nekroz ve kanama görülür. Klinik; göğüs ağrısı, öksürük, nefes darlığı, ateş görülür. Osteoartropati sık görülmez. Hipoglisemi daha sık (%10) görülür. Radyoloji; kitle görüntüsü, plevral efüzyon vardır. Tanı; eksizyonel biyopsi ile konabilir. Tedavi; plevra veya akciğer parankimi ile birlikte geniş tümör rezeksiyonu yapılır. Komplet rezeksiyon yapılmışsa kemoterapi veya radyoterapiye gerek yoktur.

Mezotelyoma

Oldukça nadir görülü. Standart bir tedavisi yoktur. Prognozu kötüdür. Epidemiyoloji; asbest temasının 20. yıllarında riskin başladığı, 35-40. yıllardan sonra arttığı bildirilmiş.

Etyoloji: Asbest etyolojide önemlidir. 1-Amfibol (crocidolit-mavi asbest) krozidolit, amosit, tremolit, antofilit ve aktinofilit. 2-Serpentin (chrysolite-beyaz asbest), krizolit. Ülkemizde tremolit güneydoğuda, erionit orta anadoluda daha çok görülür.

Radyasyon, organik kimyasal ajanlar, virüsler (MC29, SV40), kronik inflamasyon etyolojide önemlidir.

Klinik: Nonspesifiktir erken evrede. Nefes darlığı (%80), ağrı (%70), kilo kaybı, öksürük, halsizlik, iştahsızlık, ateş, horner sendromu, ses kısıklığı, yutma zorluğu görülebilir. Fizik muayene bulguları; plevral efüzyon bulguları (%91), tutulan hemitoraksda volum kaybı (%65-85), donmuş göğüs kafesi, abdominal kitle (%10), girişim yerlerinde tümör implantasyonu (%10). Oto-immunhemolitik anemi, hiperkalsemi, hipoglisemi, antidiüretikhorman eksikliği, hiperkoagulopati gibi paraneoplastik sendromlar görülebilir. Trombositoz, (%40) kötü prognoz işaretidir. Anormal EKG bulguları (%89), sinus taşikardisi, atrial veya ventriküler taşikardi görülebilir.

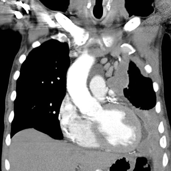
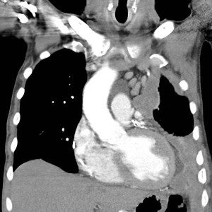
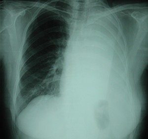
600px-MesotheliomaCTRadyolojik bulgular: Direkt grafide; efüzyon, diffüz plevral kalınlaşma, nodüler yapı görülebilir.
Toraks BT: evreleme ve cerrahi öncesi değerlendirme için gereklidir. Hidropnömotoraks (%73), ilgili hemitoraksda volum kaybı (%73), plevral kalınlaşma (%93), nodüler veya lobüler plevral kitle (%52), kalsifik plevral diafragmatik plaklar veya fibröz plaklar (%62), kosta destruksiyonu (%16), yumuşak doku invazyonu, parankimal fibrozis, kardiyomegali, perikardiyal efüzyon, lenfanjitik yayılım ile uyumlu görünüm, interlober fissür kalınlaşması veya nodüler görünüm (%76), mediastinal genişleme veya düzensiz mediastinal kontur görülebilir.

Tanı: 1-Torasentez; sitolojik inceleme %30-50 pozitif sonuç verir. 2-Perkutan plevra biyopsisi. 3-VATS. 4-Açık plevra biopsisi; daha önce tanısal amaçla yapılan invaziv girişim yerlerinin ciltteki insizyon yerleri rezeke edilmelidir. 5-Bronkoskopi. 6-Eksploratris torakotomi.

Patoloji: Histolojik sınıflama; epitelyal tip (%50), sarkomatoid tip (%20), mikst epitelial-sarkomatoid tip (%30).

Tedavi yöntemleri: 1-Cerrahi tedavi; plörektomi/dekortikasyon, ekstraplevral pnömonektomiye (perikardiyektomi ve diafragma rezeksiyonu). 2-Kemoterapi. 3-Radyoterapi. 4-Yeni tedavi yöntemleri; immünterapi ve/veya kemoterapi kombinasyonu, fotodinamik tedavi, gen tedavileri, büyüme faktörü veya reseptörlere karşı selektif antagonistik tedavi, plörektomi + intraplevral KT + postop sistemik KT + preventif RT. 5-Palyatif tedavi yöntemleri.

MPM’da pozitif prognostik faktörler: Epitelyal tip olması, yaşın 50’den küçük olması, kadın cinsiyet olması, nefes darlığı kilo kaybı olmaması, trombosit sayısının 400.000 den az olması, asbest ve erionit teması öyküsünün olmaması, yüksek performans skoruna sahip olması, erken evrede tanı konulması ve tümörün cerrahi olarak tam rezeksiyonu.

Enes Başak


YORUMUNUZ VAR MI?

guest

0 Yorum
Inline Feedbacks
Tüm yorumları gör
Araç çubuğuna atla