Kanser tedavisinde yeni bir paradigma: İmmünoterapi Çağı
İmmün sisteme sadece enfeksiyonları kontrol altına almadan sorumlu değildir, aynı zamanda kanser hücrelerini de tanımak ve tahrip etmek içindir. Günümüzde kanser immünoterapisi, bu nedenle tümör tedavisindeki önemli ilerlemelerden biri haline gelmiştir. Avusturyalı bilim insanları, Avustralya’daki ve Almanya’daki araştırmacılarla birlikte, Cbl-b adı verilen bir molekülün Natural Killer (NK) hücrelerin kanseri reddetmesi için moleküler bir fren olarak davrandığını gösterdiler. Cbl-b’nin silinmesi veya hedeflenmiş inaktivasyonu, NK hücrelerinin anti-tümör fonksiyonunu etkili bir şekilde artırdı. Sonuç olarak, melanom ve meme kanserindeki metastaz progresyonu anlamlı şekilde inhibe edildi.
Reseptör inhibisyonu, tümör hücrelerini öldürmek için NK hücrelerini serbest bırakır
Araştırmacılar ayrıca metastatik tümörlere doğru NK hücre aktivitesini Cbl-b tarafından bloke eden bir moleküler bir yolak tanımladılar. Almanya’daki Max Planck Derneği Lead Discovery Centre araştırmacılarıyla birlikte, TAM-reseptörleri olarak adlandırılan, NK hücrelerdeki Cbl-b tarafından düzenlenen reseptörlere karşı yöneltilen bir inhibitör molekül geliştirdiler.
Elde edilen verilerle ilgili bilgi veren çalışmanın başyazarı Prof. Dr. Magdalena Paolino, “Cbl-b/TAM NK hücre aktivasyonu için bir inhibitör yolaktan oluşur. Oral “hap” olarak da verilmeyi kapsayan farklı uygulama yollarıyla TAM reseptörlerini bloke etmek, model sistemlerimizde metastatik yayılmayı belirgin şekilde azalttı” diyor.

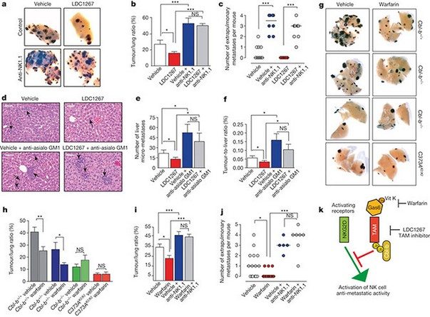
Farelerde akciğer melanom metastazının reddedilmesi, Cbl-b yeterli farelere kıyasla (üst paneller), Cbl-b (aşağı sol) için gen eksikliği veya bu gende (aşağı sağ) bir mutasyon taşımayı gerektirmektedir.
Çalışmanın bir diğer yazarı olan Dr. Josef Penninger ise çalışma ile ilgili şu değerlendirmeyi yapıyor: “Metastazlar, kanser hastalarını öldüren temel nedendir. Sonuçlarımız, kanser metastazlarını önlemek için doğal bağışıklık sistemini güçlendiren Cbl-b veya TAM inhibitörlerinin geliştirilmesini mümkün kılabileceğine dair ümit vaat etmektedir. Bu, kanser tedavisi için gerçekten de Kutsal Kaseyi açmak anlamına gelecektir. Bununla beraber, bulgularımızı ilerletmek ve olası yan etkileri test etmek için daha fazla araştırmanın yürütülmesine ihtiyaç vardır .”
Metastaz kontrolünde bir gizemi çözmek
Yol boyunca, araştırmacılar ayrıca kanser tedavisinde 50 yıldan fazla süredir var olan bulmacayı çözdüler. On yıllardır, dünya genelinde en yaygın kullanılan antikoagülan olan varfarinin model sistemlerinde tümör metastazlarını azalttığı bilinmekteydi. Bununla beraber, altta yatan mekanizmalar belirsizliğini korumaktaydı. Prof. Magdalena Paolino, “Bulgularımız, bu eski paradoks için, NK hücrelerdeki yeni tanımlanan Cbl-b/TAM reseptör yolağının inhibisyonu yoluyla, varfarinin anti-metastatik etkilere sahip olduğunu ortaya çıkaran moleküler bir açıklama sağlamaktadır. Bu durum ayrıca kanser tedavisinde varfarin gibi K vitamini antagonistlerinin kullanımını yeniden değerlendirme olasılığı sunmaktadır” açıklamasında bulunuyor.
İmmünoterapi Çağı
Her gün, vücudumuzda kanser hücreleri olama potansiyeline sahip çoğul hücreler dönüşür ve gelişir. Bununla beraber, bu tümör hücreleri hücre tipi veya onun çevresi için uygun olmayan olağandışı antijenler sergiler ve böylece vücudun bağışıklık sistemi tarafından tanınabilir. Modern tıp bu nedenle tümör hücrelerine saldırma için hastanın bağışıklık sistemini uyarmayı amaçlar. Son bulgular ve gelecekteki umutlar ışığında, kanser immünoterapisi Science dergisi tarafından 2013 yılının bilimsel atılımı olarak seçildi. IMBA bilim insanları tarafından elde edilen bulgular, doğal bağışıklık hücrelerinde, modifiye edildiklerinde bu hücrelerin metastatik tümörleri aramasına ve tahrip etmesine izin veren, temel moleküler kırılmalar bulunabilmesine dair kanıt sağlamaktadır.
Kaynak: The E3 ligase Cbl-b and TAM receptors regulate cancer metastasis via natural killer cells. M. Paolino, A. Choidas, W. Langdon, J. Fededa, S. Cronin, A. Unger, G. Baier, A. Ullrich, B. Klebl, J. Penninger. Nature, 2014; DOI: 10.1038/nature12998
Makalenin tam metnine aşağıdaki linkten ulaşılabilmektedir:
http://www.nature.com/nature/journal/v507/n7493/full/nature12998.html
Abstract
Tumour metastasis is the primary cause of mortality in cancer patients and remains the key challenge for cancer therapy1. New therapeutic approaches to block inhibitory pathways of the immune system have renewed hopes for the utility of such therapies2. Here we show that genetic deletion of the E3 ubiquitin ligase Cbl-b (casitas B-lineage lymphoma-b) or targeted inactivation of its E3 ligase activity licenses natural killer (NK) cells to spontaneously reject metastatic tumours. The TAM tyrosine kinase receptors Tyro3, Axl and Mer (also known as Mertk) were identified as ubiquitylation substrates for Cbl-b. Treatment of wild-type NK cells with a newly developed small molecule TAM kinase inhibitor conferred therapeutic potential, efficiently enhancing anti-metastatic NK cell activity in vivo. Oral or intraperitoneal administration using this TAM inhibitor markedly reduced murine mammary cancer and melanoma metastases dependent on NK cells. We further report that the anticoagulant warfarin exerts anti-metastatic activity in mice via Cbl-b/TAM receptors in NK cells, providing a molecular explanation for a 50-year-old puzzle in cancer biology3. This novel TAM/Cbl-b inhibitory pathway shows that it might be possible to develop a ‘pill’ that awakens the innate immune system to kill cancer metastases.
YAZIYI PAYLAŞ
YORUMUNUZ VAR MI?