Bronşektazi belirtileri tanı ve tedavisi

Yazan Dr. Enes Başak
25 Aralık 2013   |    7 Nisan 2015    |   Kategori: Tıp Ders Notları, Üye Yazıları Print

Bronşektaz medikal akademiBronşektazi tek bir hastalık değildir, değişik nedenler sonucu ortaya çıkan antomik bir bozukluktur. Özellikle proksimal subsegmental hava yollarında kalıcı olarak dilate olmuş bronşlardır. İlk olarak 1819 yılında Fransız doktor Renė Laёnnec tarafından öksürük ve kronik balgam çıkarma ile karakterize bir hastalık şeklinde tanımlanmıştır. Kronik süreçte, bronş duvarında kas ve elastik komponentlerin destrüksiyonu sonucu anormal ve kalıcı genişlemeler oluşarak akciğerin geri dönüşümsüz hasarı ile sonuçlanır.

Bronşektazi nedenleri

Etyolojide çeşitli nedenlerle hava yolu savunma mekanizmalarının bozulmasını sağlayan nedenler rol alır. Geçirilmiş akciğer hastalığı ya da sistemik bir hastalık nedeniyle bronşektazi gelişebilir. Bronşektazi edinsel veya konjenital nedenlerden dolayı görülebilir. En sık suçlanan neden ise çocukluk çağında geçirilmiş ve solunum yollarını etkileyen adenovirüs, pnömoni, boğmaca, kızamık ve tüberküloz gibi tekrarlayan enfeksiyonların olduğu edinsel bronşektazidir. Yabancı cisim ve tümör gibi nedenlerle oluşan bronş obstrüksiyonu, tekrarlayan aspirasyonlar gibi edinsel etyolojinin yanısıra, trakeabronkomegali, konjenital hastalıklar (Alfa-1 antitripsin eksikliği, immotil silia sendromu, kistik fibrozis, young sendromu gibi), immün yetmezlikler de diğer konjenital bronşektazi nedenleri arasında yer alır. Fakat hastaların yaklaşık %50’sinde etyolojik faktör saptanamamıştır. Edinsel bronşektaziler lokal kalma eğiliminde iken konjenital bronşektaziler daha çok difüz gelişirler. Klinik semptomların daha kötü olduğu difüz bronşektazilerde solunum yetmezliğine bağlı ölüm gelişebilir. Dünyada bronşektazi insidansıyla ilgili kesin rakamlar bilinmemekle birlikte gelişmiş olan ülkelerde çocukluk dönemindeki aşılama programları, akciğer hastalıklarının erken tanısı ve tedavisi ve tüberküloz oranındaki azalmalar nedeniyle bronşektazi insidansı düşmektedir. Fakat gelişmekte olan ülkelerde bu risk faktörleri devam ettiğinden bronşektazi insidansı daha yüksektir. Etyolojide bakteriyel, viral, fungal enfeksiyonlar gelişmekte olan ülkelerde ön planda iken, immün yetmezlik sendromları, genetik ve metabolik defektler gelişmiş ülkelerde ilk sırada yer alır.

Bronşektazi için predispozan faktörler

Bronkopulmoner enfeksiyonlar: M.tbc, bordatella suşları, viruslar, ABPA.
Bronşial obstrüksiyon: neoplazmlar, yabancı cisim, bronkolitiazis. Eksternal bası; lenf bezi büyümesi, pulmoner arter band migrasyonu.
Konjenital antomik defektler: kartilaj yetersizliği veya yokluğu (williams-campbell sendromu), bronşial atrezi, tek taraflı pulmoner arter agenezisi, mounier-kuhn sendromu, Kalıtsal veya edinsel İmmun yetmezlik: X e bağlı agammaglobulinemi, selektif Ig yetersizliği, ortak değişken immunyetmezlik, HIV.
Herediter hücresel veya metabolik anomaliler: kistik fibrozis, diskinetik silia sendromları.
Diğer hastalıklar: sarı tırnak sendromu, young sendromu, toksik gaz inhalasyonu, parankimal fibrozis.

Gelişmiş ülkelerde, boğmaca kabakulak için etkin aşılama programları, akciğer tüberkülozu prevalansında azalma ve gelişmiş antibiyotik tedavileri sonucunda bronşektazi insidansı azalmıştır. Buralarda bronşektazi en sık kistik fibrozise bağlı olarak görülür. Ancak gelişmemiş toplumlarda hala sık karşılaşılan önemli bir sorundur.

Bronşektazinin patolojik özellikleri

Patolojik bulgular bronş dilatasyonun şiddetine ve distal bronşiyal veya bronşioler obliterasyonun derecesine göre değişir. Hafif hastalıkta (silendirik bronşektazi),bronş hatları oldukça düzgündür, distal olarak uzamış ancak çapları aynı kalmış veya çok hafif artmıştır. Ana bronştan perifere doğru bronş ağacının alt dallanma sayıları normal sınırlardadır. Daha şiddetli hastalıkta (variköz bronşektazi), dilatasyon derecesi daha fazladır Lokal konstrüksiyonlar bronş duvar sınırlarında düzensizliğe neden olur ve variköz venlere benzer. Dilate olan bronşların distalindeki daha küçük bronş ve bronşiollerin lümenleri granülasyon veya fibröz doku ile oblitere olabilir. En şiddetli olgularda (sakküler veya kistik bronşektazi), bronş dilatasyonu perifere doğru progressif olarak artar ve çapları birkaç cm.yi bulan kistik boşluklara neden olur. Bronş dallanmasının sayısı 5 ten fazla değildir ve bronşiyoller tamamen yok olmuştur. Aynı bölgedeki pulmoner parankim normal olabilir ancak sıklıkla bu hastalarda sık görülen enfeksiyon atakları sonucu olarak organize pnomoni odakları gösterir. Bronş arter dolaşımı tipik olarak artmıştır ve olguların çoğunda hemoptizi sebebidir.

Bronşektazide hikaye

Öksürük, pürülan balgam çıkarma ensık şikayetlerdir. Hastalık yaygınsa nefes darlığı şikayeti olabilir. Hemoptizi, tekrarlayan göğüs ağrısı ve ateş daha nadirdir. Özellikle sabahları artan bol pürülanlı balgam vardır. Bulaşıcı çocuk hastalıklarının bir komplikasyonu olarak gelişen pnömoni öyküsü olabilir. Tekrarlayıcı pnömoniler, Hemoptizi atakları olabilir. Bronşektazi gelişimi için predispozan bir faktör bulunabilir.

Bronşektazide fizik muayene

Tutulan lob veya loblarda orta raller, parmaklarda çomaklaşma görülür. Diğer bulgular; yaygın ronküsler, uzamış ekspiryum, tutulan loblarda solunum seslerinde azalma, perküsyonda matite, bronşial solunum sesi alınabilir.

Solunum fonksiyon testleri

Bronşektazili hastayı ayırt etmeye yarayacak bir özellik yoktur. Lokalize bronşektazili bir hastada genellikle normaldir. Ağır, yaygın bronşektazili hastalarda kronik obstürüktüf hava yolu hastalığındaki gibi bulgular olur.

Akciğer grafisi

Tamamen normal görülebilir ya da, hilustan dışarı doğru uzanan radyolusent çizgiler (tram lines) veya kalın paralel çizgiler (tooth paste lines) veya kümelenmiş kistler görülebilir. Bazen bu kistlerin içinde hava-sıvı seviyeleri görülebilir. Peribronşial kalınlaşma, atelektazi veya konsolidasyon gibi nonspesifik bulgulare da olabilir.

Bronşektazi tanısı

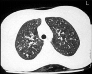
Rutin laboratuvar testleri tanıda çok az yardımcıdır. Ağır, yaygın hastalığı olanlarda kanda lokositoz, anemi olabilir. Klinik özellikler ve hikaye düşündürüyorsa, altta yatan hastalığa yönelik testler yapılır. Ter testi, immunglobulinlerin istenmesi gibi. ‘‘Bronkografi’’ tanıda altın standarttır. Ancak günümüzde bronkografi kadar detaylı görümtü sağlayan ve noninvaziv olan yüksek rezolusyonlu kompütörize tomografi bronkografinin yerini almıştır.

Bronşektazide prognoz ve komplikasyonlar

Antibiyotik kullanımından önce prognozu kötü bir hastalıktı. Antibiyotik kullanımı ile çoğu hasta akciğer fonksiyonlarında minimal bir kayıp ile iyileşir. Sadece az sayıda hastanın hastalığı progresyon gösterir. Bunlarda görülebilecek komplikasyonlar; ilerleyici süpürasyon, massif pulmoner hemoraji, bronşit ve amfizeme yol açabilen periferik hava yollarında obliterasyon, kronik solunum yetmezliği ve korpulmonale, beyin apsesi, amiloidoz.

Bronşektazi tedavisi

Antibiyotikler tedavinin temelidir. Antibiyotik seçimi aerop, anaerop, mycobakterilere yönelik balgam incelemesi sonucu yapılır. Kistik fibrozisliler dışında en sık rastlanan organizmalar; S.pnomonia ve H.influenza’dır. Bu yüzden antibiyotik seçimi bu mikroorganizmalara yönelik geniş spektrumlu antibiyotiklerden yapılır (penisilin, amoksisillin, cefacklor gibi). Ek olarak bazı uygulamalar faydalı olabilir; postural drenaj, buhar vererek nemlendirme, mukolitikler, havayolu hiperreaktivitesi olanlarda bronkodilatörler, altta yatan hastalığa yönelik IV.Ig’ler, potansiyel patojenlere karşı immünizasyon (pnomokok ve influenza aşıları) yapılabilir. Cerrahi tedavi 3 sebeple yapılır; massiv hemoptizi, antibiyotik alamayan veya antibiyotik tedaviden fayda görmeyen hastalar.

Bronşektazide cerrahi tedavi

Bronşektazili hastalarda cerrahi tedavi uygun seçilmiş olgularda kesin sonuç verir.
Bu nedenle hasta seçiminde dikkat edilmesi gereklidir. Özellikle medikal tedaviye dirençli ve semptomların devam ettiği lokalize bronşektazili hastalar, tekrarlayan enfeksiyonlar nedeniyle sık tedavi alan hastalar ve masif hemoptizi gibi komplikasyonların eşlik ettiği bronşektazili hastalar cerrahiden fayda gören gruptur. Cerrahi planlanan hastalara preoperatif yapılan bilgisayarlı tomografi ile hastalığın lokalizasyonu ve yaygınlığı iyi değerlendirilmeli, bronkoskopi uygulanarak yabancı cisim veya endobronşiyal anomaliler ve lezyonlar araştırılmalı, göğüs fizyoterapisi yapılarak sekresyonlar uzaklaştırılmalı, proflaktik antibiyotik tedavisi başlanmalı ve sigara içiyorsa bırakması önerilmelidir. Cerrahinin amacı etkilenmiş tüm segmentlerin çıkartılarak maksimum fonksiyonu korumaktır. Bunun için, fonksiyonunu yitirmiş akciğer dokusu uzaklaştırılarak lokalize bronşektazi alanların komşu bölgelere yayılımı ortadan kaldırılır. Bu nedenle hastaların pulmoner rezervleri iyi değerlendirilmelidir.

Cerrahide segmentektomi, lobektomi ve pnömonektomi gibi rezeksiyon çeşitleri uygulanabilir. İntraoperatif dönemde bronşektazik alan dışındaki sağlam parankimin kontaminasyonunu önlemek için çift lümenli tüp kullanılması önerilerek sekresyonların yayılmaması engellenir. Cerrahiye en uygun vakalar tek taraflı ve lokalize bronşektazi hastalarıdır. Bir akciğerin normal olduğu tek taraflı yaygın bronşektazilerde pnömonektomi yapılabilir. Fakat pnömonektomi sonrası göğüs deformitesi gelişme riski olduğunda 18 yaşından sonra operasyon önerilmektedir. Diffüz bronşektazilerde cerrahinin yeri daha sınırlıdır ve sonuçları çok etkili değildir. Bilateral bronşektazilerde ise en fazla altı normal segment kalıncaya kadar rezeksiyon yapılabilir. Bilateral yaygın bronşektazilerde ise cerrahinin yeri yoktur. Seçilmiş vakalarda akciğer transplantasyonu uygulanabilir. Bronşektazi tedavisinde cerrahi etkin bir tedavi yöntemidir. Hastalığın ağırlığı ve yaygınlığı iyi değerlendirilerek cerrahi endikasyon oluşturulmalıdır.

YORUMUNUZ VAR MI?

guest

2 Yorum
En Yeniler
Eskiler Beğenilenler
Inline Feedbacks
Tüm yorumları gör
Fatima
Fatima
9 yıl önce

Merhaba, siyah kuru üzümü çekirdeğini çiğneyerek tuketin… 2yıl kronik urtiker hastası olup bu sayede kurtulmuş birinin tavsiyesi… Allahın izniyle iyikeseceksiniz …

Manoni
Manoni
9 yıl önce

Benim qoja hastalandi bronshektazi..onun tedavisi ichin nasil yafahas..biz yabanji ii doktor istiorum..

Araç çubuğuna atla