Endometrial hiperplazi tanı ve tedavisi

Yazan Dr. Enes Başak
18 Kasım 2013   |    3 Mart 2023    |   Kategori: Tıp Ders Notları, Üye Yazıları Print

endometriumEndometrium glandüler epitel ve stromal yapıların hiperplastik değişiklikleridir. Endometrium karsinomu için prekanseröz lezyonlardır.
Etyoloji: Karşılıksız uzun süre östrojen stimülasyonu, kronik anovulasyon, östrojen üreten ovaryan neoplaziler, obezite, PCOS, genetik, HRT, tamoksifen.
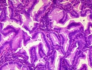
Patoloji: Glandların sayısında artış, glandlarda dilatasyon, stromada aşırı proliferasyon, dilate glandlarda sırt sırta dizilme (back to back crowding), glandüler epitelde polarizasyon kaybı, glandüler epitel hücrelerinde tabakalaşma (stratifikasyon), hücrelerde atipik değişiklikler.

Klasifikasyon: Basit, kompleks, basit atipili, kompleks atipili. Bu sınıflama endometrial hiperplazilerin endometrium karsinomu ile ilişkisi dikkate alınarak yapıldı.

Premalign potansiyel: Histolojik yapılarına göre % 0-100. Sitolojik nükleer atipi, risk artışını en çok belirleyen bulgudur. Hiperplaziden karsinoma geçiş 10 yıl. Atipik hiperplaziden karsinoma geçiş 4 yıl. Hiperplazi ile ilişkili karsinomlar, genelde erken dönemde tanımlanan iyi diferansiye lezyonlardır. Adenomatöz hiperplazi, atipik hiperplazi, karsinoma in situ gelişebilir. Premalign potansiyelde; araştırmalardaki yetersizlikler, klasifikasyon terminolojisindeki değişiklikler, teşhis kriterlerindeki değişiklikler, tanı konulduktan sonra D&C veya TAH dışında farklı tedavi yaklaşımları etkilidir.

Doğumsal karın duvarı defektleri tanı ve tedavisi

Endometrium CA insidansını artıran faktörler: Menapozun uzaması, HT ve DM, obezite, yüksek sosyoekonomik durum, aile anamnezi, PCOS, menapozda estrojen alımı, estrojen salgılayan tümör, çocuk doğurma ve menarşın gecikmesi endometrium CA insidansını azaltır.

Endometrial karsinoma insituda tanı kriterleri: nükleer hiperkromatizm, nükleusda büyüklük ve şeklinde irregülarite, nükleusda büyüme, sitoplazmada eozinofili, nükleer polarite kaybı, intraglandüler epitelyal köprüleşmeler, nükleer kromatinde kabalaşma.

Tip 1 endometrial karsinom: Endometrial hiperplazi ile ilişkilidir. Nulliparite, obezite, HT, DM, over kaynaklı aşırı östrojen üretimi, ekzojen kaynaklı östrojen kullanımı ile ilişkilidir. İyi diferansiye ve düşük stage iyi prognozludur.

Tip 2 endometrial karsinom: Endometrial hiperplazi ile ilişkili değildir. Klasik risk faktörleri yoktur. Atrofik endometrium, non-endometrioid. Kötü diferansiye ve yüksek stage kötü prognozludur.

endometrial-hyperplasiaTanı: Anormal uterin kanamalar, endometrial biyopsi, USG’de endometrial kalınlığın 5 mm’nin üstünde olması, TV-USG’ de endometrial yapıların düzeninin kaybolması ve kavitede sıvı birikimi, sonohisterorafi, postmenapozal dönemde PAP smearde normal endometrial hücrelerin varlığı, histeroskopi, doppler USG.

Epitelyal metaplastik değişiklikler: Skuamöz metaplazi, musinöz metaplazi, silier değişiklikler, hobnail değişikliği, berrak hücre değişiklikleri, eozinofilik hücre değişiklikleri, sinsityal değişiklikler, papiller proliferasyon, arias-stella reaksiyonu benzeri değişiklikler.

Tedaviyi etkileyen faktörler: Hastanın yaşı, histolojik tip, reprodüktif durum, takip edilebilirliği, genel durumu.

Tedavi: Hormonal tedavinin kesilmesi, izole progesteron (MPA, megesterol asetat), östrojen + progesteron, danazol, GnRH analogları, progesteron içeren RİA’lar, endometrial ablasyon (cryo -thermo), histerektomi, intrakaviter radyoterapi.

Enes Başak


YORUMUNUZ VAR MI?

guest

0 Yorum
Inline Feedbacks
Tüm yorumları gör
Araç çubuğuna atla