
Tanım: Halk arasında “cam kemik hastalığı” olarak adlandırılan Osteogenezis imperfekta (OI), nadir görülen genetik bir hastalıktır. Hastalık çeşitli genlerde meydana gelen mutasyonlardan kaynaklanır. Bu mutasyonlar kollajen adında bir proteinin yanlış sentezlenmesine yol açar. Hastalar yapısı bozulan bu protein nedeniyle başta ciddi kemik kırılmaları olmak üzere hayat boyu yaşamı kısıtlayıcı birçok semptomla karşı karşıya kalabilirler.
Hastalarının kemikleri görünürde bir neden olmaksızın veya hafif travmada kolayca kırılabilir. Birden fazla kırıklar yaygındır hatta doğumdan önce bile ciddi kırık vakaları olabilir. Hafif vakalarda ise yaşam boyunca yalnızca birkaç kırık olabilir. Osteogenezis imperfekta, çoğunlukla kemiklerleri etkilemesine rağmen dişler, gözler, kulaklar ve iç organlar da bu hastalıktan etkilenebilir.
Hastalığın toplumda görülme sıklığının 1: 1.000 ile 1: 30.000 arasında olduğunu gösteren farklı görüşler vardır. Literatürler bu farklı frekans bilgisi için hafif formlarının geç teşhis edilmesini gösteriyor. Bu durum Osteogenezis imperfektanın toplumda ne sıklıkta olduğunu belirlemesini güçleştiriyor.
Genetik Hastalıklar: Ehlers Danlos Sendrom(EDS) nedir? Belirtileri ve tedavisi
OI, genetik olarak heterojen bir hastalık grubudur ve nadir görülen özel formları vardır. Hastalık, hem otozomal dominant, hem de otozomal resesif olarak miras alınır. En hafif görülen Tip I formu ile orta ve şiddetli formların % 77’si COL1A1 ve COL1A2 genlerindeki mutasyonlardan kaynaklanır. Orta ve şiddetli vakaların yaklaşık % 9’unun sebebi ise IFITM5 genindeki mutasyonlar dır. Klinik semptomların şiddeti mutasyonun türü ve hangi gende bulunduğuna bağlı olarak değişir.
Açıklama: COL1A1 ve COL1A2 genleri, Tip I kollajen proteini sentezlemek için gerekli talimatları içerirler. Bu protein, deri, kemik ve diğer bağ dokularında bolca bulunarak vücudun sağlam güçlü kalmasını sağlar. Osteogenezis imperfekta Tip I, genellikle COL1A1 genindeki ve daha az olarak da COL1A2 genindeki mutasyonlardan kaynaklanır. Bu mutasyonlar üretilen Tip I kollajen proteinin yapısını bozmaz ama miktarını azaltır, bu da bağ dokuları, özellikle kemikleri zayıflatır.
Diğer genlerdeki mutasyonlar nadir görülen Osteogenezis imperfekta’nın diğer formlarına neden olur. Bu genlerin bir kısmı regülatör genlerdir. Regülatör genler Tip I kollajeni senteleyen geni regüle ederek Tip I kollajenin olgun forma dönüşmesine yardımcı olurlar. Bu genlerdeki mutasyonlar, Tip I kollajenin üretimindeki farklı aşamaları bozar. Bu değişiklikler bağ dokularını zayıflatarak ciddi kemik anormalliklerine ve büyüme sorunlarına yol açarlar.
Genetik Hastalıklar: Charcot Marie Tooth (CMT); belirtileri, tipleri ve tedavisi
OI’nin nadir görülen otozomal resesif kalıtımsal özel formları çoğunlukla spesifik klinik özelliklerle karakterizedir. Bu genlerin analizi kapsamlı klinik değerlendirmeler ile yapılır.
Osteogenezis imperfekta nın (OI) semptomları, formlar arasında farklılıklar gösterir. Bu yüzden genel semptomlar çok hafiften şiddetliye kadar değişebilir. Öyleki hastalığın şiddeti aynı ailenin hasta bireyler arasında bile farklılıklar gösterebilir. Osteogenezis imperfektanın ana semptomu kırık kemiklerdir. Kemikler çok kolay kırılabilir, hatta bebeklerde bez değiştirirken veya geğirirken bile kemiklerin kırılması mümkündür.
Osteogenezis imperfektanın semptomları diğer hastalıklara benzeyebilir, bu yüzden kesin teşhis için daima doktor ile iletişime geçilmelidir. (17)(18)(19)
Osteogenesis imperfektanın (OI) Tip I den Tip XIX a kadar bilinen 19 formu vardır. Aşağıda Osteogenesis imperfektanın on dokuz formundan sekizine yer verilmiştir. Ayırt edici özellikleri örtüşse de bazı türler belirti ve semptomlar bakımından farklılık gösterir.
OI Tip I (eski adıyla Osteogenesis imperfecta tarda, tip Lobstein): Genellikle 17. kromozom bulunan COL1A1 veya 7. kromozomda bulunan COL1A2 genlerindeki heterozigot mutasyondan kaynaklanır. Bu mutasyonlar Tip I kollajen miktarlarının azalmasına yol açar.
Kromozomal Hastalıklar – 2: Angelman Sendromu ve Prader-Willi Sendromu
Tip I, OI’nin en hafif formudur. Genellikle çocuklar yürümeyi öğrenirken kırıklar oluşmaya başladığında fark edilir. Bu formdan etkilenen kişiler genellikle yaşamın üçüncü on yılının ortalarına kadar teşhis edilmezler. Yenidoğan çocuklarda kırıklar nadirdir. Kırık eğilimi çocukluktan ergenliğe kadar sabittir, daha sonra azalır. Kırıklar sıklıkla kadınlarda menopozdan sonra ve erkeklerde altıncı on yıldan sonra artar.
İşitme kaybı, genellikle ergenlik çağında veya genç yetişkinlik döneminde başlayabilir, ancak daha erken de başlayabilir. Tip I OI’li bazı hastalar bu hastalıktan çok hafif etkilenir. Bu gruptaki kişiler, ortalama yürüyebilir ve koşabilir ve gevşek eklemler gibi zar zor farkedilebilen hafif belirtilere sahiptirler. Bu durumdaki hastalar hastalıktan o kadar hafif etkilenir ki, gençlik veya yetişkinlik yıllarına kadar teşhis edilemezler. (1)(2)(14)
OI Tip II: COL1A1 veya COL1A2 genlerindeki heterozigot mutasyondan kaynaklanır. Tip II, OI vakalarının yaklaşık % 20’sinde görülen en şiddetli formdur. Perinatal dönemde birçok perinatal kırık, uzun kemiklerde şiddetli eğilme ve kemik kırılganlığı ile karakterizedir. OI Tip II ile doğan bebeklerin % 60’ı gelişmemiş akciğer fonksiyonu nedeniyle ilk birkaç hafta içinde ölürler. Bir yıldan fazla hayatta kalmaları nadirdir. OI Tip II, otozomal dominant modelde kalıtılır.(3)
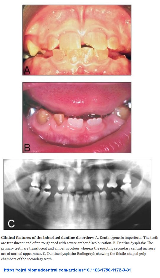
OI Tip III: (Eski adıyla osteogenesis imperfecta congenita, tip Vrolik): COL1A1 veya COL1A2 genlerinden birinde meydana gelen heterozigot mutasyon dan kaynaklanır. Doğum sürecinde sıklıkla çoklu kırıklar meydana gelir. Ergenliğe kadar yaklaşık 100 kemik kırılması gerçekleşir. Fenotip özellikler değişkendir. Tipik olarak son derece kısa boy, ince, kavisli ve yumuşak kemikler, iskelet deformiteleri, skolyoz, dentinogenezis imperfekta ve işitme kaybı ile karakteristiktir. OI Tip III tüm osteogenesis imperfecta vakaların yaklaşık % 5 ni oluşturur. OI Tip III, otozomal dominant modelde kalıtılır. (4)(20)
Kromozomal hastalıklar ve gebelik: 35 yaş üstü hamilelikler neden riskli
OI Tip IV: COL1A1 veya COL1A2 genlerindeki heterozigot mutasyondan kaynaklanır. OI Tip IV, OI’nin orta dereceli bir formudur. Hastalıktan etkilenenlerin yaklaşık yarısında işitme kaybı vardır. Sklera genellikle beyazdır ya da hafif mavimsi dir. Bu formdakiler de kısa boyludur ve kemiklerde sadece hafif deformasyonlara vardır. Kemiklerin kırılma ve deformasyon eğilimi Tip III e göre daha azdır. Tekerlekli sandalye gerekli değildir. OI IV, otozomal dominant modelde kalıtılır.(6)(7)
OI Tip V: 11. kromozomda bulunan IFITM5 genindeki heterozigot mutasyondan kaynaklanır. OI Tip V, orta şiddettedir ve görünüm ve semptomlar açısından Tip IV’e benzer. Belirgin özellikler arasında kırık veya cerrahi bölgelerde oluşabilen hipertrofik nasırlar ve radius ile ulna (ön koldaki 2 kemik) arasındaki zarın kireçlenmesi nedeniyle sınırlı önkol hareketi. OI V, otozomal dominant modelde kalıtılır.(5)(8)(9)
OI Tip VI: 17. kromozomda bulunan SERPINF1 genindeki homozigot mutasyondan kaynaklanır. Oldukça nadir görülen bir formdur ve kemik kırılganlığı ve düşük kemik kütlesi ile karakteristiktir. Belirtiler orta düzeydedir. Tip IV’e benzer. Yapılan kemik Biyopsisinde karakteristik bir mineralizasyon kusuru ile ayırt edilir. Sklera normalden hafif mavimsi dir ve Dentinogenesis imperfecta yoktur. OI VI, otozomal resesif modelde kalıtılır. (10) (11)
OI Tip VII: 3. kromozomda bulunan CRTAP genindeki homozigot veya bileşik heterozigot mutasyondan kaynaklanır. OI Tip VII, Osteogenezis imperfekta nin şiddetli veya öldürücü formudur. Bu form nadir bir formdur ve tüm imperfekta vakalarının % 2 ila 3’ünü oluşturduğu tahmin ediliyor. Çoklu kemik kırıkları, aşırı derecede düşük mineralizasyon ile karakterizedir. OI VII, otozomal resesif modelde kalıtılır. (12)
OI Tip VIII: 1. kromozomda bulunan LEPRE1 genindeki homozigot veya bileşik heterozigot mutasyondan kaynaklanır. Tip VIII, İrlandalı göçmenler ve Batı Afrikalılar arasında daha yaygındır. Beyaz sklera, uzun eller ve aşırı derecede zayıflamış kemiklerle karakterizedir. OI VIII, otozomal resesif modelde kalıtılır.
Osteogenezis imperfekta nın şimdilik bir tedavisi yok, ancak semptomlar hafifletebilir, kemiklerin kırılması önlenebilir ve hareket yeteneği en üst düzeye çıkarılabilir. Hastalığın şiddetli formları göğüs kafesi ve omurganın şeklini etkileyerek yaşamı tehdit eden solunum problemlerine yol açabilir. Böyle durumlarda bazı hastaların oksijen takviyesi alması gerekebilir. Ancak birçok vakada hastalar düzenli izleme ve doğru tedavi ile sağlıklı ve üretken bir yaşam sürebilir.
Kişiden kişiye değişen bu tedavilerin optimal yaşam kalitesi sağlayabilmesi için erken müdahale önemlidir. Bu özel tedaviler doktor tarafından belirlenecek bir prosedüre göre yapmalıdır. (15) (16) (21) (22)
Benzer konularda hazırlanmış diğer makaleler
Mehmet Saltuerk
Dipl. Biologe Mehmet Saltürk
The Institute for Genetics of the University of Cologne
++++++++++++++++++++++++
Kaynaklar
Natural history of blue sclerae in osteogenesis imperfecta
Cardiovascular involvement in osteogenesis imperfecta
Deficiency of Cartilage-Associated Protein in Recessive Lethal Osteogenesis Imperfecta
Osteogenesis imperfecta type III with intracranial hemorrhage and brachydactyly associated with mutations in exon 49 of COL1A2
Homozygosity by descent for a COL1A2 mutation in two sibs with severe osteogenesis imperfecta and mild clinical expression in the heterozygotes
A new look at osteogenesis imperfecta. A clinical, radiological and biochemical study of forty-two patients
Genetic heterogeneity in osteogenesis imperfecta
Type V osteogenesis imperfecta: a new form of brittle bone disease
Phenotypic variability of osteogenesis imperfecta type V caused by an IFITM5 mutation.
Osteogenesis imperfecta type VI: a form of brittle bone disease with a mineralization defect
Exome sequencing identifies truncating mutations in human SERPINF1 in autosomal-recessive osteogenesis imperfecta
Deficiency of cartilage-associated protein in recessive lethal osteogenesis imperfecta.
Genetic heterogeneity in osteogenesis imperfecta.
Natural history of blue sclerae in osteogenesis imperfecta
Bone: Use of bisphosphonates in children-proceed with caution
Management of genetic syndromes
Hereditary dentine disorders: dentinogenesis imperfecta and dentine dysplasia
A Case of Spontaneous Intestinal Perforation in Osteogenesis Imperfecta
Wormian bones: A review
Adults with Osteogenesis Imperfecta
Smoking and Bone Health
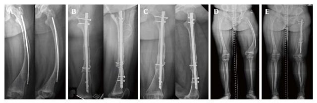
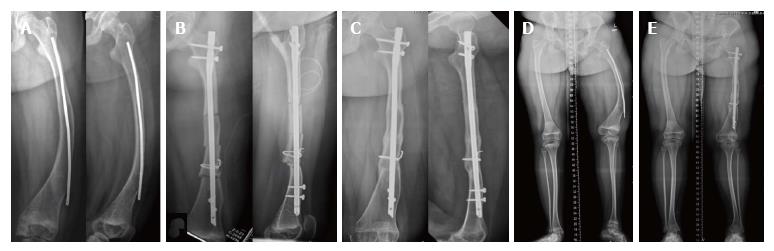
Using humeral nail for surgical reconstruction of femur in adolescents with osteogenesis imperfecta
YAZIYI PAYLAŞ
YORUMUNUZ VAR MI?