
Klinefelter sendromu, yalnızca erkeklerde görülen genetik bir sağlık sorunudur. Erkeklerin gelişimini etkileyen bu durum, genellikle yetişkinliğe kadar fark edilmez. Nedeni, sendromlu çocukların bir adet ekstra X kromozomuyla dünyaya gelmeleridir. Bu durumun herhangi belirgin bir sebebi yoktur. Tipik belirtileri arasında; bebeklerde konuşmada gecikme, çocuklarda zayıf ve güçsüz kas ve kemik yapısı, kısırlık bulunur. Hastalığın kesin bir çaresi yoktur ancak belirtiler, bazı tedavilerle hafifletilebilir ve hastanın durumu iyileştirilebilir. Tedavisinde fizik tedavi, testosteron replasman tedavisi, kısırlık tedavisi gibi yöntemlerden yararlanılabilir. Erken tanı ile hastalığın meme ve akciğer kanseri gibi ölümcül komplikasyonları önlenebilir. Tedavi, bir ömür boyu sürebilir. Hasta çocuğa psikolojik ve eğitimsel destek verilmesi son derece önemlidir.
Table of Contents
Klinefelter sendromu, erkeklerin fazlalık bir adet X kromozomuyla doğması ile gelişir. Genellikle bebeklik ya da çocukluk döneminde belirtiye yol açmaz. Çoğu erkek, bu sendroma sahip olduğunun farkında bile değildir. Ancak erkekte yetersiz sperm üretimine neden olduğu için bu erkekler, çoğunlukla bebek sahibi olamaz. Sendrom, erkeklerde hem fiziksel hem de bilişsel gelişimin yavaşlamasına neden olur.
Erkeğin cinsel gelişimi, testosteron hormonunun kontrolü altındadır. Testosteron üretiminin yavaş ya da hiç olmaması; cinsel, fiziksel ve bilişsel gelişimi olumsuz etkiler. Cinsel gelişim, diğer sağlıklı erkek çocuklarına nazaran daha yavaştır. Genellikle erkekler, kısırlık şikayetiyle doktora görünmeleri sırasında hastaya doktor tarafından Klinefelter sendromu teşhisi konulur. Son derece yaygın olan hastalık, 600 erkekten 1’inde görülür.
Testosteron nedir? Neye yarar? Erkek sağlığına etkileri nelerdir?
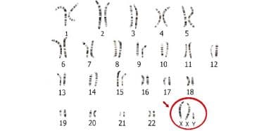
İnsanlarda cinsiyeti belirleyen X ve Y kromozomlarıdır. Normal bir erkeğin vücudundaki her bir hücrede bir adet X ve bir adet Y kromozomu bulunur. Ancak sendromlu çocuklarda X kromozomunun fazladan bir tane daha kopyası vardır. Yani sendromun nedeni, çocuğun hücrelerinde XY şeklinde olması gereken kromozomların XXY şeklinde olmasıdır. X kromozomu yalnızca dişi bir kromozom değildir yani erkeklerde de bulunur. Klinefelter sendromlu çocuklar, genetik olarak hala erkek olmalarına rağmen hücrelerindeki ekstra X kromozomunun varlığı yüzünden pek çok sağlık sorunuyla karşılaşabilirler.
Sendromlu çocuklardaki ekstra X krozomu, her bir hücrede bulanabileceği gibi yalnızca bazı hücreleri de etkileyebilir. Ekstra kromozom, anne yumurtasından ya da babanın spermindeki fazlalık X kromozomundan bebeğin genetik kodlarına işlenir. Bununla birlikte yumurta ve spermdeki bu ekstra kromozom, tamamen rastlantısaldır. Sendrom; rastgele bir hata sonrası ortaya çıkar yani kalıtsal bir durum değildir.
Sendrom, 3 farklı tipte görülebilir.
Belirtiler, çeşidine göre farklılık gösterebilir bir kısmı bebeklik, gençlik dönemlerinde görülürken diğer kısmı yetişkinlik döneminde ortaya çıkabilir.
Yukarıdaki belirtiler, her hastada görülmeyebilir, örneğin; sendromlu çocuk, erişkinlik dönemini sağlıklı şekilde geçirdikten sonra yetişkinlik döneminde semptomlarla karşılaşabilir. Çocuğun büyüme ve gelişme döneminde bu belirtilerden birkaçı ile karşılaşmanız mutlaka bir doktora başvurun!
Otizm nedir? Neden olur? Otizmin tipik belirtileri nelerdir?
Doktorunuz, tanı koyabilmek adına sizi ya da çocuğunuzu kapsamlı bir muayeneden geçirebilir. Fiziki muayene esnasında genital bölgenizi ve göğsünüzü inceleyerek, semptomlar hakkında bilgi edinebilir. Ayrıca size sağlığınızla ilgili birtakım sorular yöneltebilir. Sendrom teşhisinde aşağıdaki testlerden yararlanabilir:
Kan ve idrar örnekleri ile hormon seviyeleri kontrol edilebilir. Testosteron hormon seviyesindeki düşüklük, hastalığa işaret eder.
Doktorunuz, karyotip analizinden belirtileri ve tanıyı doğrulamak amacıyla yararlanabilir. Kromozomların şeklini ve sayısını tespit etmek amacıyla sizden aldığı kan örneğini laboratuara gönderebilir. Bu sayede sizde ya da çocuğunuzda ekstra kromozom olup olmadığını öğrenebilir.
Sendrom, daha çok gençlik ya da yetişkinlik döneminde teşhis edilir. Bazen de anne adayının 35 yaş üstünde olması durumunda hamileden alınan amniyotik sıvı ile hastalık erken dönemde teşhis edilebilir. Bu yüzden tanıda geç kalmamak adına çocuğunuzun fiziksel ya da bilişsel gelişiminde anormallikler fark eder etmez, bir uzmandan yardım almanız gerekir!
Hastalığın tedavisinde endokrinolog, konuşma terapisti, fizyoterapist, psikolog, çocuk doktoru, genetik danışmanı gibi birçok farklı alanda hizmet gösteren uzmanlar iş birliği içerisinde hareket ederler. Seks kromozom değişikliklerini onarmanın bir yolu olmasa da hastalık belirtileri, birkaç tedavinin birlikte yürütülmesiyle giderilebilir. Tedavide yararlanılan yöntemleri aşağıdaki şekilde sıralayabiliriz:
Yüzde ve vücutta kıl oluşumunu destekleme, penis büyüklüğünü arttırma, kas kütlesini yoğunlaştırma, sesi geliştirme vb. ergenlik dönemindeki fiziksel ve cinsel gelişimler tedavi ile sağlanabilir. Ayrıca bu tedavi ile kemik yoğunluğu da arttırılabilir.
Ancak testosteron replasman tedavisi testis büyümesi ya da cinsel isteği arttırmada etkili değildir.
Aşırı meme dokusu yüzünden genişlemiş göğüsler, plastik cerrah yardımıyla normal bir boyuta kavuşturulabilir.
Sendromlu erkeklerde görülen konuşma problemlerini gidermede konuşma tedavisi yardımcı olabilir. Fizik tedavi ile kas güçsüzlüğü iyileştirilebilir.
Hastaların çoğunda testislerin az miktarda testosteron üretmesi ya da hiç üretememesi kısırlığa yol açar. İntrasitplazmik sperm enjeksiyonu ile kısırlığın sonuçları engellenebilir. ICSI isimli bu işlem esnasında erkekteki az miktar sperm testisten alınır ve anne yumurtasına enjekte edilir. Bu sayede hastalar, baba olabilirler.
Ergenlik ve gençlik dönemlerinde hastalar, sessiz, sakin, içine kapanık bir karaktere sahiptirler. Bu durum, sosyal izolasyonu beraberinde getirebilir. Aile terapisti, psikolog ya da danışman, hastaya hastalığını kontrol etmede yardımcı olabilir.
Sendromlu çocukların çoğunda öğrenmede sıkıntılar mevcuttur. Okul danışmanı ve öğretmenler yardımıyla çocuğa eğitimsel destek sunulabilir. Bu sayede çocuğun bilişsel gelişimi desteklenebilir. Bu süreçte anne-babaların bilinçli davranması çok önemlidir.
Erken tanı ve tedavi komplikasyon oluşumunu önlemede son derece önemlidir. Bu komplikasyonların çoğu, düşük testosteron (hipogonadizm) ile ilişkilidir ve testosteron replasman tedavisiyle giderilebilir.
Kinefelter sendromu, ölümcül bir hastalık değildir yani direkt olarak yaşam süresini kısaltmaz. Ancak hastaların çoğu, kalp-damar, akciğer, meme kanseri, diğer kanser türleri vb. hastalıklara yakalanmaya daha eğilimlidirler. Bu yüzden bu hastalıklara yakalanan kişinin yaşam süresi kısalabilir ve hayat kalitesi ciddi anlamda düşebilir.
Anne-babaların olası komplikasyonlara karşı her daim tetikte olmaları ve çocuklarını düzenli olarak muayenelere götürmeleri gerekir.
Klinefelter sendromu zeka geriliğine yol açmaz. Ancak bilişsel gelişimi olumsuz yönde etkileyebilir. Çocukta konuşma bozukluğu, matematik problemlerini çözmede zorlanma, okuma ve anlamada güçlük çekme görülebilir. Bu yüzden anne-babaların eğitimsel destek alarak, çocuklara zorlukları aşma konusunda yardımcı olmaları gerekir. Öğretmenler de bu konuda bilinçli davranmalı ve üzerlerine düşen vazifeyi yapmalıdırlar.
Hastaların genellikle doğal yollarla çocuğu olmaz. Ancak testosteron replasman tedavisi ile bu hastalar da baba olma şansına sahip olabilirler.
Kaynaklar ve Referanslar:
1- Klinefelter syndrome,2- Klinefelter syndrome symptoms,3- What is Klinefelter Syndrome?YAZIYI PAYLAŞ
YORUMUNUZ VAR MI?