Bağlı kalınca, her diyet sonuç veriyor
Atkins'den Weight Watchers'a, tüm diyetlerin aslında benzer sonuçlar verdiği; kilo vermek isteyenlerin kendilerine en kolay gelen, yaşam tarzlarıyla en uyumlu...
Atkins'den Weight Watchers'a, tüm diyetlerin aslında benzer sonuçlar verdiği; kilo vermek isteyenlerin kendilerine en kolay gelen, yaşam tarzlarıyla en uyumlu...
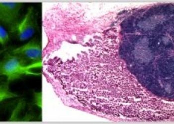
Bilim Adamları Laboratuvarda Fareler Üzerinde Timus Organı Geliştirmeyi Başardı. Yeni bir bilimsel araştırmayla laboratuvar yapımı organlara bir adım daha yaklaşıldı.
Laboratuvar ortamında ilk kez bütün işlevlerini yerine getiren timus bezi oluşturdu. Şimdiye kadar elde edilen organların işlevsellik açısından sınırlı olduğunu...
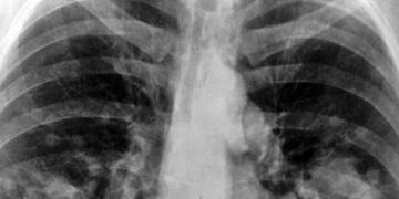
25 bin’den fazla bireyi kapsayan yedi araştırmanın toplu analizi sonucunda, akciğer kanseri gelişimi riski ve birtakım basit solunumsal hastalıklar arasında bazı bağlantılar bulundu.
DevamıProf. Dr. Ahmet Rasim Küçükusta; Kolesterol ilaçlarının iktidarsızlık yaptığı ve erkeklik hormonu olan testosteron seviyelerini düşürdüğü uzun zamandır biliniyordu; yeni bir araştırmada statinlerin testisleri ve spermleri de...
DevamıProf. Dr. Turgay Çelik, son zamanlarda gençler arasında kullanımı artan ve ölümlere yol açan, bonzainin çokça yan etkiye sahip yeni bir aşırı toksik madde olduğunu belirterek, konu...
DevamıABD'de Les Turner Amiyotropik Lateral Skleroz (ALS) Araştırma Laboratuvarı'nın kurucu başkanı Dr. Hande Özdinler, "ALS hastalığıyla ilgili buluşlar ışık hızıyla gelişiyor. Şu anda araştırma yapmak için en...
DevamıBirbirlerinden çok kısa süre sonra hayatlarını kaybeden onyıllar boyunca evli kalmış çiftler var. Peki aşık olunan kişinin ölümünün yarattığı keder, gerçekten kalbi durdurabilir mi? Tıpta bunun bir...
DevamıBilim insanları, yaptıkları araştırmada, vücuda enjekte edilen bir tür bakterinin kanserli tümörü küçülttüğü bulgusuna ulaştı. Time dergisinin yatığı haber şaşırtıcı sonuçlar içeriyor.
DevamıBirçok kişi diyet süresince yaptığı hatalar yüzünden kilo vermekte zorlanıyor veya uzun sürede verdiği kiloları hızlıca geri alıyor. Diyetisyeni Canan Aksoy, diyet yaparken kilo vermeyi engelleyen en...
DevamıTüm sağlık personeli için “yıpranma payı” verilmesine yönelik çalışmaların devam ettiğini söyleyen Sağlık Bakanı Müezzinoğlu, "Tüm sağlık personellerimize yıpranma payı tasarı yasalaştıktan sonra verilmeye başlanacaktır" dedi
DevamıVardiyalı çalışanlarda tip 2 diyabetin daha sık görüldüğü ileri sürüldü. Occupational and Environmental Medicine'da yayımlanan araştırmada, vardiyalı çalışmanın uyku ve yemek düzenlerini bozduğunu ve bunun sonucunda tip...
Devamıİlaç firması Novartis diyabet hastalarının glikoz seviyesini ölçmek için Google’ın ürettiği akıllı lensi geliştirmek üzere şirketle anlaştı. Akıllı lens, kullanıcıların gözyaşı ile glikoz seviyesini ölçerek verileri cep...
Devamı