İlaç allerjileri tanı ve tedavisi
Her ilaç reaksiyonu allerji değildir; genel olarak 'advers' ilaç reaksiyonu tanımlaması kullanılır. WHO'nun tanımına göre; proflaksi, tanı ya da tedavi...
Her ilaç reaksiyonu allerji değildir; genel olarak 'advers' ilaç reaksiyonu tanımlaması kullanılır. WHO'nun tanımına göre; proflaksi, tanı ya da tedavi...
Gastroözofageal reflü; mide içeriğinin özofagusa doğru geri kaçmasıdır. Gastroözofageal reflü hastalığı; özofagusa geri kaçan mide içeriğinin semptomlara ve özofagusta hasara...
Uzm. Dr. Hande Kontaytekin, kalp hastalıkları ve genel tanı prensipleri hakkında bilgi verdi: Kalp hakkında genel bilgiler, kalp hastalıklarında semptomlar...
Tetanoz, gram (+), hareketli, aneorob, sporlu bir bakteri olan clostridium tetani‘nin salgıladığı ekzotoksine bağlı akut gelişen bir infeksiyondur. Yaralanmayla doku arasına girerek yerleşen C. tetani’nin yapmış olduğu...
DevamıTürk Pediatrik Hematoloji Derneği 8 Mayıs dünya Talasemi günü nedeniyle yaptığı açıklamada Talaseminin Türkiye için hala çok önemli bir halk sağlığı sorunu olduğunu belirterek farkındalık çalışmalarının önemine...
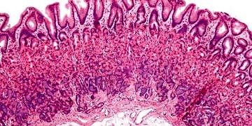
DevamıKronik peptik ülser toplum sağlığını ilgilendiren hastalıkların başında. Dünyanın her yerinde ve her ırkta. Fakir ülkelerde daha sık. Batıda prevalans % 1.5-2.5. Her yaşta görülebilme. Otopsilerde erkeklerde...
DevamıKardiyovasküler Semptomlar konusunda iyi öykü alan doktor ile hasta arasında güçlü bağlantı kurulur. Bu kurulan bağ daha sonra hastanın tedavi planına uyumunda, hastaneye yatmasında, yapılması gereken girişimsel...
DevamıKarın ağrısı şikayeti, acil servise başvuran tüm hastaların %5-8’ini oluşturur. Karın ağrısının nedeni basit bir viral gastroenterit olabileceği gibi; erken ve doğru tanı konmadığında mortaliteye neden olacak...
DevamıAile hekimlerinin uzun süredir beklediği, Aile Hekimliği Uygulama Yönetmeliği Resmi Gazete'de yayımlanarak yürürlülüğe girdi. Yönetmelik aile hekimi ve aile sağlığı elemanlarının çalışma usul ve esaslarını kapsamlı şekilde...
DevamıKullanıma yeni giren ilaçlarla Hepatit C tedavisinde başarının önemli oranda arttığını söyleyen Prof. Dr. Cem Kalaycı, “Hepatit C’de standart tedavi konsepti tamamen değişiyor. Türkiye’de de geri ödemeye...
DevamıJournal of Clinical Endocrinology and Metabolism’de yayımlanan yeni bir çalışmaya göre, ileri yaştaki kişilerde düşük D vitamin düzeyi mortalite ile doğrudan ilişkili. Çalışmada, yaşlılarda D vitamini eksikliğinin...
DevamıKanada İnme Kongresi’nde yayımlanan yeni inme tedavisi kılavuzunda, obstrüktif uyku apnesi, hem inme için hem de inme sonrası komplikasyonlar için önemli bir risk faktörü olarak tanımlandı. Kılavuza...
DevamıDiyabet tedavisinde yaşanan sorunların çözümü için Türkiye genelinde pek çok kentte hekimlere yönelik eğitim çalışmalarına katılan Harvard Üniversitesi Diyabet Merkezi Direktörü Prof. Dr. Enrique Caballero ve Lipit...
Devamı