Meme kanserinde beslenme ve fitoterapi! Korunma ve tedaviye etkileri
Meme kanseri ve beslenme arasında da diğer kanser tiplerinde olduğu gibi, güçlü bir ilişki mevcuttur. Sağlıklı beslenme meme kanserinden korunmada...
Meme kanseri ve beslenme arasında da diğer kanser tiplerinde olduğu gibi, güçlü bir ilişki mevcuttur. Sağlıklı beslenme meme kanserinden korunmada...
Sağlık sisteminin temel sorunlarının artarak devam ettiğini belirten yazarımız Prof. Dr. Paşa Göktaş, yaşanan sorunları ana başlıklar halinde okurlarımız için...
Diabetik retinopati, retinal ven oklüzyonu, retinal arter oklüzyonu, hipertansif retinopati, kan hastalıklarına bağlı retinopatiler (anemi, lösemi, hiperviskozite), prematüre retinopatisi, diğer...
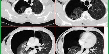
Solunum; ventilasyon, perfüzyon, difüzyondan oluşur. Solunum; dokuların ihtiyacı olan O2‘nin atmosfer havasından alveole, oradan kana ve kandan dokulara ulaşmasını, dokulardan CO2‘nin atmosfer havasına atılmasını sağlar.
DevamıNöroendokrin tümörler (NET’ler) genellikle gastrointestinal sistemde ve akciğerlerde bulunan ancak pankreas ve rektum gibi vücudun başka yerlerinde de görülebilen küçük ve yavaş büyüyen tümörlerdir. Prof. Dr. Mustafa...
DevamıSağlık Bakanlığı'nın ‘Geleneksel, Tamamlayıcı ve Alternatif Tıp Uygulamaları Yönetmeliği’ taslağınının kamuoyunda ciddi şekilde tartışılması gerektiğini söyleyen Prof. Dr. Sefer Aycan, taslağın mevcut haliyle yaratabileceği sakıncalara dikkat çekti.
DevamıStrese bağlı olarak oluşan hastalıkların arasında bel ağrısı da ilk sıralarda yer alıyor. Bel ağrısı rahatsızlığı olan hastaların zihinsel olarak rahatlamadıkça fizik tedavi, kas gevşetici ya da...
DevamıAile Hekimleri için getirilmeye çalışılan uzmanlık eğitiminin TUS sınavı nedeniyle sorunlara neden olabileceğini söyleyen Dr. Recai Yahyaoğlu, TUS sınavının kendi başına önemli bir engel olduğunu ve yol...
DevamıSon günlerde Aile Hekimliği uygulaması ile ilgili tartışmaların yeniden başladığına işaret eden yazarımız Prof. Dr. Sefer Aycan, 'Torba Yasa' ile aile hekimlerine getirilen nöbet tutma zorunluluğu ve...
DevamıBağlanma hormonu olarak bilinen oksitosin hormonu üzerine bir araştırma yapan Almanya Ruhr Üniversitesi'nin çalışmasına göre, burnuna oksitosin hormonu sıkılan erkekler flört esnasında partnerlerine daha fazla yaklaşıyor.
DevamıÖlü muayene tutanağı nedir, nasıl tutulur, otopside yapılacak işlemlerin sıralaması, giysilerin incelenmesi, otopsi kararı, dış ve iç muayene, anamnez ve kısa klinik, otopsiyi gerçekleştiren hekimin hakkları gibi...
DevamıMultipl skleroz üzerine yapılan birçok araştırma ve geliştirilen ilaçlar genellikle bağışıklık sistemi üzerine odaklanmıştır. Az sayıda araştırmacı ise öncü oligodendrosit hücreleri üzerinde çalışmaktadır. Farelerde başarılı olan Benzatropin’in...
DevamıTBMM’de kabul edilen son torba yasanın birçok konuda değişiklikler getirdiğini veya yeni uygulamalar getirildiğini belirten Prof. Dr. Sefer Aycan, yasanın içerdiği sorunlar ve getirdiği yanlışlıklarla ilgili bir...
Devamı