Adli toksikoloji açısından kaza, zehirlenme, intihar ve cinayet analizi
Yeterli miktarda alındığında vücudun kimyasal ve fizyolojik düzenine etki ederek ölüme yol açan maddelere toksin ya da zehir denir. Zehirli...
Yeterli miktarda alındığında vücudun kimyasal ve fizyolojik düzenine etki ederek ölüme yol açan maddelere toksin ya da zehir denir. Zehirli...
Demans sendromları, kognitif işlevlerde azalma sonucu bellek, konuşma, algılama, hesaplama, yargılama, soyut düşünme ve problem çözme gibi işlevlerden en az...
Görme yeteneğini kaybetmiş kişilere şimdiye kadar kök hücre tedavisi ve retinaya chip yerleştirme gibiretina-1 kısmen başarılı olan metotlar uygulanıyordu. Yeni...
Tam Gün Torba Yasası ile birlikte getirilen yeni yasal düzenlemeyi değerlendiren Prof. Dr. Sefer Aycan, yasanın hekimlerin çalışma şartları ile ilgili karmaşayı çözülmediği gibi yeni sorun ve...
DevamıAmerican Heart Journal'da yayınlanan yeni bir araştırmaya göre, 'Dua etmenin' hastalıkları iyileştirmede hiçbir etkisinin olmadığını gösterildi. Araştırma, katolik, protestan ve diğer dinlerden hastalardan olusan 1802 kişilik kalp...
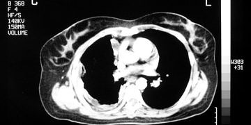
Devamıİntraplevral hava birikmesi ve buna sekonder gelişen akciğer kollapsıdır. Mekanizma; alveolle plevral aralık arasında ilişki, atmosferle plevral aralık arasında ilişki, plevral aralıkta gaz üreten bakteri.
DevamıHepatik ensefalopati, ciddi karaciğer bozukluğu olan hastalarda görülen, farklı nedene bağlı bir nörolojik ve/veya metabolik hastalık olmaksızın, bir dizi nöropsikiatrik değişikliklerle karekterize bir sendromdur. Klinik tablo, hafif...
DevamıSağlık Bakanlığı'nın yayımladığı 'Türkiye Kronik Hastalıklar ve Risk Faktörleri Saha Çalışması’ndan elde edilen veriler, Türkiye’de en sık görülen kronik hastalıklarla ilgli önemli bilgiler sağladı. Raporda, bulaşıcı olmayan...
DevamıFetal membranların doğum başlamadan önce yırtılmasıdır. EMR 37 haftanın altında meydana gelirse bu durum prematüre erken membran rüptürü denir ve tüm gebeliklerin %10’unda görülür. Erken doğumun en...
DevamıMezotelyoma, temel olarak halk arasında ak toprak, çorak toprak, gök toprak, çelpek, höllük veya ceren toprağı gibi isimlerle bilinen asbestin yol açtığı akciğer zarı ve karın zarı...
DevamıDünya genelinde sağlık sistemleri için önemli bir sorun olmaya başlayan 'Bulunamayan ilaçlar' konusunu merçek altına alan Eski FDA Komiser Yrd. Peter Pitts, okurlarımız için 'Düzenleyici önlemler ekonomik...
DevamıHİdatik kist hakkında kapsamlı tıp öğrenci notu: Echinococcus cinsi parazitlerin erişkin formlarının kesin konaklarda, metasestod formu olan larvalarının arakonaklarda oluşturduğu enfeksiyonlar.
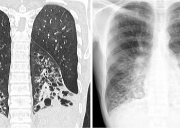
DevamıBronşiolit, inflamatuar bir reaksiyondur. Bu reaksiyon çapı 2mm'nin altında olan küçük iletken hava yollarındaki bronşiol epitelinin hasarlanması sonucu ortaya çıkar. İnflamatuar proçes iyileşirken hava yollarının duvarında, lümeninde...
Devamı