Mesane kanseri tanı ve tedavisi
Mesane kanseri, organizmanın en sık görülen tümörlerindendir. Tüm kanserlerin %10'nu oluşturur. Mesane kanseri nedenleri, belirtileri, tedavisi, sınıflandırılması, mesane kanseri ölümcül...
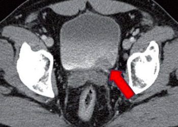
Mesane kanseri, organizmanın en sık görülen tümörlerindendir. Tüm kanserlerin %10'nu oluşturur. Mesane kanseri nedenleri, belirtileri, tedavisi, sınıflandırılması, mesane kanseri ölümcül...
12 Nisan 2015 pazar günü yapılan Tıpta Uzmanlık Sınavı nihayet hekimleri kısmen de olsa memnun etti... Geçmişte yapılan sınavlara göre...
'Gebelikte kahve içmek, zararlı mıdır?' sorusunun gebeler tarafından oldukça sık sorulduğunu söyleyen Prof. Dr. Bülent Tıraş, yapılan son araştırmaların gebelikte...
Uykuda solunum bozuklukları grubunda en sık görüleni Uykuda Solunum Durması Hastalığı (Obstrüktif Uyku Apne Sendromu) dır. En sık belirtisi horlamadır. Uykuda solunum bozuklukları hastalıkları hakkında kapsamlı tıp...
DevamıAkut ve kronik enfeksiyöz rinosinüzit, tanısı, tedavisi, komplikasyonları, sınıflandırma, akut enfeksiyöz rinosinüzitte ağrı hakkında kapsamlı tıp öğrenci ders notu.
DevamıTükrük bezinin enfenksiyonları, tükrük bezinde büyüme yapan sistemik hastalıklar, Tükrük bezinin neoplastik hastalıkları; Sjögren sendromu, Sarkoidoz, Pleomorfik adenom, Mukoepidermoid karsinom, Kabakulak, Kronik sialoadenit hastalığı hakkında kapsamlı bilgi.
DevamıHastalık veya travma sonucu yaşam fonksiyonları ileri derecede bozulmuş olan veya her an bozulma riski taşıyan hasta kritik hasta olarak tanımlanır.
DevamıSes kısıklığı nedenleri ve tedavisi; gırtlağı tutan hastalıklar; Larenksin innervasyonu, disfoni yapan nörolojik bozukluklar, larengomalazi, konjenital vokal kord paralizisi, konjenital subglottik stenoz, larengeal atrezi gibi konularda kapsamlı...
DevamıYurt dışında tıp eğitimi alarak mezun olan T.C. vatandaşı doktorların denklik konusundaki mağduriyeti sürüyor. Yurt dışında tıp eğitimini başarıyla tamamlayan bu hekimlerin diplomalar 49 ülkede tanınıyor ama...
Devamıİşitme kaybına sebep olan birçok farklı neden vardır. İşitme kayıplarının dereceleri, hafif işitme kayıplarından kalıcı işitme kayıplarına doğru değişmektedir. İşitme kaybının dereceleri, nedenleri ve tedavisi hakkında kapsamlı...
DevamıŞok, yetersiz doku perfüzyonuna neden olan klinik bir sendromdur. Patofizyolojik açıdan 3 ayrı kategoride gruplandırılır; hipovolemik, distribütif (dağılımsal), kardiyojenik.
DevamıYüze gelen sinir liflerinin zedelenmesi sonucu yüzün mimik kaslarındaki hareket kaybına Yüz Felci-Bell paralizisi denilir. Yüz felci hemen her yaşta görülebilir. Yüz felci nedir, belirtileri, nedenleri ve...
DevamıAkut solunum yetmezliği kısa sürede gelişen, hayati organları oksijensiz bırakacak kadar ya da hiperkapniye bağlı asidoza yol açacak düzeyde gaz değişimlerinde bozulma olarak tanımlanabilir.
Devamı