Seboreik Dermatit nedenleri ve tedavisi
Nedeni tam olarak bilinmeyen Seboreik dermatit (egzema) yağ bezlerinin aşırı dercede salgı yapmasındır. Tedavide amaç kabuk ve kepeklenmenin giderilmesine yöneliktir.
Nedeni tam olarak bilinmeyen Seboreik dermatit (egzema) yağ bezlerinin aşırı dercede salgı yapmasındır. Tedavide amaç kabuk ve kepeklenmenin giderilmesine yöneliktir.
Akciğer parankimi içinde değişik etiyolojik ve patolojik etkenler sonucu meydana gelen destruksiyon ve süpürasyonlara denir. Akciğer absesinin nedeleri, belirtileri ve...
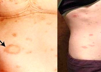
Pitriyazis Rozea (Gibert - Gül Hastalığı) nedir?, Belirtileri, nedenleri, ayırıcı tanısı, tedavisi hakkında kapsamlı tıp fakültesi öğrenci ders notu...
Pemfigus, bağışıklık sisteminin kişinin kendi doku ve hücrelerine karşı savaşması sonrasında ortaya çıkan hastalıklardan birisidir. Bulaşıcı bir özelliği olmayan Pemfigus deride ve ağızda yanık benzeri içi sıvı...
DevamıGelişim Tıp Laboratuvarları’na gelen hasta örnekleri üzerinde yapılan çalışmalara göre, “Domuz Gribi” adıyla bilinen Influenza A H1N1 vakalarının sayısında artış görülmektedir. 2014 yılının son üç ayında gelen...
DevamıYeni doğan bebeklerin %60’ında; erken doğan bebeklerin ise %80’inde sarılık görülür. Peki bu kadar sık karşılaşılan yenidoğan sarılığı nedir?
DevamıKutanöz melanoma cilde rengini veren melanositlerden kaynaklanan bir cilt tümörüdür. Erken evrede yakalanmazsa yayılma eğiliminde olan melanomanın nedenleri belirtileri ve tedavisi
DevamıHasta insanlar, başıboş köpekler, tatarcıklar ve vadiren kan veya organ transplantasyonları ile de bulaşan kutanöz leishmaniasis (şark çıbanı) nedir, nedenleri, belirtileri ve tedavisi hakkında kapsamlı bilgi...
DevamıHastaların yaklaşık %10′unu mantar hastalıkları oluşturmaktadır. Yüzeyel mantar hastalıkları; (tırnak, ayak, cilt mantarı) dermatofitozis, kandidiazis, tinea (pitriyazis) versikolor; nedir, tanı ve tedavisi
DevamıDerinin elementer lezyonları; Gangren (nekroz), Skatris (nedbe), Skleroz, Krut, Keratoz, Skuam, Ragat, Ekskoriasyon, Püstül, Bül, Vezikül, Urtika, Diskromi, Purpura, Eritem, Makül konularında kapsamlı tedavi ve klinik bilgisi...
DevamıDeri eklerinin hastalıkları: Ter bezi hastalıkları, Tırnak hastalıkları, Kıl hastalıkları konusunda; tanı tedavi, belirti, klinik hakkınd akapsamlı tıp ders notu...
DevamıYüzeysel venöz yetmezliğin cerrahisi tedavisinde kullanılan yöntemler, İdeal varis cerrahisi nasıl olmalı, varis tedavisinde klasik cerrahi yöntemler, Variköz ven cerrahisi, varis cerrahisinde başarı için...
DevamıVenöz sistem hastalıkları: Pulmoner emboli ve Derin ven trombozu; tanı, tedavi, klinik, risk faktörleri, IV UFH tedavisi, tedavide yeni yaklaşımlar, cerrahi trombektomi gibi konularda kapsamlı tıp ders...
Devamı