Bunama ilaçları böbrekleri vuruyor
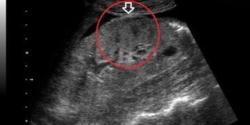
Bunama hastalığının tedavisi sırasında kullanılan bazı ilaçların, böbrekler üzerinde olumsuz etkileri olduğu belirtildi.
Bunama hastalığının tedavisi sırasında kullanılan bazı ilaçların, böbrekler üzerinde olumsuz etkileri olduğu belirtildi.
Tarama “screening” tanımlanmış popülasyonda asemptomatik hastalıkların aranmasıdır. Bir hastalığı tarama programına almak için ilgili testin kolay, ucuz, güvenilir ve güncel...
Vejetaryenlik, bitkisel kaynaklı besinlerin ağırlıklı olarak tüketilmesini içeren bir beslenme tarzıdır. Vejetaryen ise; bitkisel besinleri tüketen, hayvansal besinleri tüketmeyen kişilere...
Dünya genelinde milyonlarca Hepatit C hastası tedavi olmayı beklerken yeni geliştirilen Sovaldi isimli ilaç sağladığı yüksek düzeydeki tedavi başarısı ile hastalara umut vaat ediyor. Ancak çok önemli...
DevamıSağlık Bakanlığı’nın TBMM sunduğu “Türkiye Sağlık Enstitüleri Başkanlığı Kurulması" ilgili kanun tasarısı” Sağlık Komisyonundan geçti. Prof. Dr. Sefer Aycan'ın tasarı ile aile hekimlerine acillerde nöbet tutturulmasının yanlış...
DevamıKarakter oluşumunda birçok etkenin rol oynadığı bilinmektedir. Elbetteki aileden ve okuldan alınan eğitimin, içinde yaşanılan kültürün, arkadaş çevresinin karakter oluşumunda etkisi yadsınamaz ama bütün bunlar var olan...
DevamıBiyonik pankreas, kandaki şekeri 3 değişik ünitenin ortaklaşa çalışması ile anında dengeleyecek. Massachusetts Hospital ve Boston Üniversitesi’nin geliştirdiği bu teknik sayesinde Diyabet 1 hastalarının hayatı daha kolaylaşacak...
DevamıSepsise karşı hızlı ve doğru tanı için hayati değere sahip! Tanı yöntemlerindeki yeni gelişmelere rağmen sepsis tanısında kan kültürü hala 'altın standart' olmaya devam ediyor. Yeni hazırlanan...
DevamıBasında, üniversite hastanelerinin yakında çıkarılacak bir yasayla fiilen Sağlık Bakanlığı’na devredileceği yazılıyor. Konunun akademik yönü ile ilgili çeşitli eleştiriler var. Ancak, henüz konu tüm boyutlarıyla ortaya konulmadığı...
DevamıTranslational Psychiatry Dergisinde yeni yayımlanan heyecan verici bir çalışmanın sonuçlarına göre, yüz yıldır Afrika Uyku Hastalığı’nın tedavisinde kullanılmakta olan suramin adlı ilaç, farelerde otizm semptomlarını 5 hafta...
DevamıSakarya ve Mustafa Kemal Üniversitelerinin Resmi Gazete'ye verdikleri ilanlara bakılırsa bu üniversitelerimize Viagra konusunda “tecrübesi” ve “çalışması” olan üroloji doçenti aranıyor. Dr. Erkin Göçmen'in tartışmalı ilanlarla ilgili...
DevamıAalkolizm, en basit ifade ile kronik ve aşırı alkol tüketimiyle oluşan bir bağımlılık hastalığıdır. Toplumda alkol bağımlılığının psikolojik ve sosyal sebeplerden kaynaklandığı inanışı hakim ama genetik çalışmaların...
DevamıSGK'nın ilaç firmalarından aldığı indirim olan “Kamu Kurum İskontosu’nun bazı ilaç firmaları tarafından uygulanmadığını söyleyen TEİS Başkanı Nurten Saydan, arada oluşan zararın da eczaneler tarafından üstlenilmek zorunda...
Devamı