Hipofiz bezi pek çok ciddi hastalığın nedeni olabilir
Görme kaybı, baş ağrısı, adet düzensizlikleri; kilo fazlalığı, hipertansiyon ve diyabetle seyreden metabolik sendrom… hipofiz bezindeki rahatsızlıklardan kaynaklanıyor olabilir. Prof....
Görme kaybı, baş ağrısı, adet düzensizlikleri; kilo fazlalığı, hipertansiyon ve diyabetle seyreden metabolik sendrom… hipofiz bezindeki rahatsızlıklardan kaynaklanıyor olabilir. Prof....
Tekrarlayan soğuk algınlıkları ve farklı enfeksiyonlar sonucu oluşma riski daha da artan bronşitten korunmanın ve kurtulmanın pratik ve doğal çözümlerini...
Ülkemizde genellikle her 10 kişiden biri, yaşamı boyunca en az bir kez böbrek taşlarıyla ilgili bir problemle karşılaşıyor. Böbrek taşları...
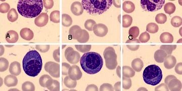
Kemik ağrıları, kansızlık, halsizlik veya akciğer enfeksiyonu, Multıpl Miyelom hastalığına işaret ediyor olabilir. Prof. Dr. Orhan Sezer, kötü huylu kan hastalıkları arasında ikinci sırada yer alan Multipl...
DevamıProf. Dr. Arpacıoğlu, erkeklerde daha sık görülen, omurgayı etkileyen, kronik, ilerleyici, ağrılı ve sebebi bilinmeyen romatizmal bir hastalık olan ve 45 yaş altında en sık, 45 yaşın...
DevamıÇocuklarda ritmik olarak tekrarlayan, tedaviye rağmen devam eden, tekrarlayan ateş sendromlarından en sık görülen PFAPA Sendromunu, Hisar Intercontinental Hospital Çocuk Sağlığı ve Hastalıkları Uzmanı Dr. Fazlı Yılmazer...
DevamıHıçkırık çoğu zaman kısa süreli ve zararsızdır. Sağlıklı kişilerde geçici bir rahatsızlık olarak ortaya çıkabilir. Ancak sebepsiz sanılan ve uzun sürebilen hıçkırıklar beyin ve kalp gibi hayati...
DevamıÖzellikle eklemlerin en büyük düşmanı olan romatizmanın aynı zamanda kalp hastalıklarına da zemin hazırlayarak; kalbin en büyük düşmanlarından biri olduğunu biliyor muydunuz?
Devamı